目次
始めるきっかけ
大阪へ引っ越してきて矯正の歯医者さんを探している中で当院を見つけて相談に来てくれました。
当院へ来る前も、何ヶ所か相談にも行っていたようでした。
一年半くらい上の顎を広げる矯正をしていたようです。
上はある程度綺麗に並んでいますが、下の歯が並ばないことを心配されていました。
睡眠時にイビキをかいたりなどもあったようです
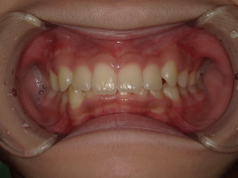
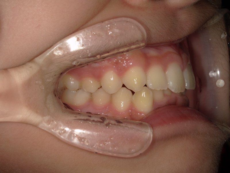
治療前 / 現在
治療前 / 現在
治療開始時


現在
治療の内容
来た時の現状


始めの検査の時の写真です。
下の歯があまり見えておらず、横からの写真を見ると上の歯に覆い被さっているように見えます。
上の歯の矯正
過去にこの男の子は他院で上の歯並びのみ矯正をしていました。


確かに上の歯は綺麗ですが、下の歯にはガタつきが残っています。
上の歯だけを矯正しても悪い癖があれば下の歯は綺麗にならないこともあります。
この時既に歯の生え変わりは終わっており全て永久歯の状態です。
マウスピースとアクティビティー
継続して続けること
マウスピース、アクティビティーもスタートし順調に頑張ってくれていました。
週4日で塾へ通っていて時間を取るのは大変でしたが、お母さんもしっかりと協力してくださり継続をしてくれていました。
今ある悪い癖を変えていくためにはマウスピースやアクティビティーを続けることに意味があります。
毎日続けるのは大変だけど続けていくことにより早く結果が出やすくなります。
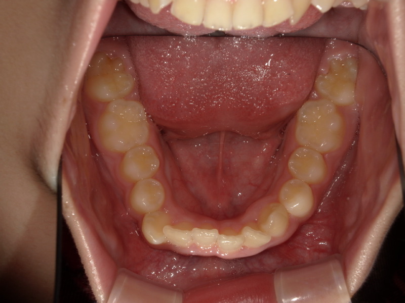
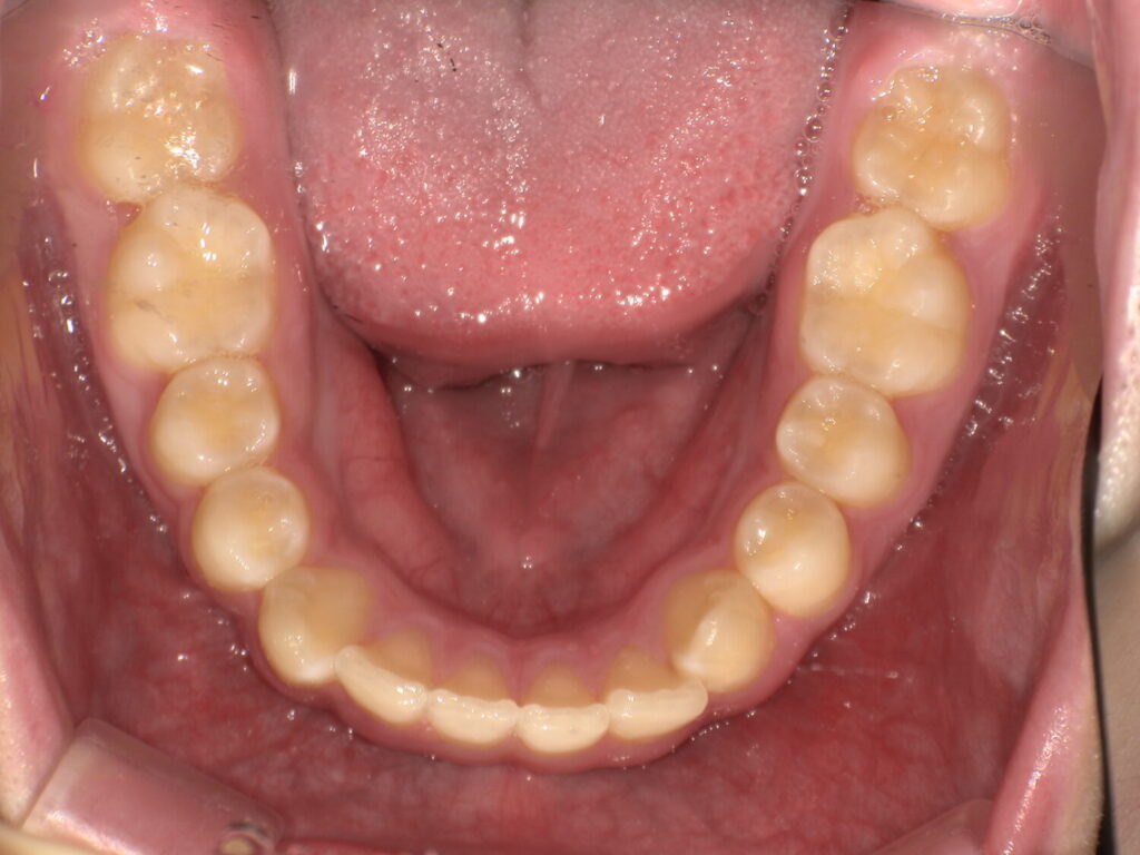
下の歯並びの変化


半年後の下の歯の写真です。
がたつきがあったのも綺麗になり、調和の取れた歯並びへ変わってきています!
綺麗な噛み合わせへ
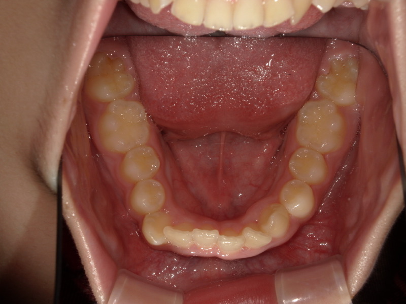
アクティビティーの卒業
舌のアクティビティーが少し苦手だったり受験などもあり、3年ほどかかりましたがアクティビティー卒業する頃には綺麗な歯並びになりました!
下の歯もしっかりと見えています。


鼻詰まりの解消
最初の問診時に、鼻が詰まることも多くよく耳鼻科に行っています、と聞いておりましたが終わることには耳鼻科に行くことが減りましたとお伝えいただき鼻呼吸を確立できたことにより鼻詰まりも解消されていそうです。
顔の変化もより正しく成長することができました!
緑から赤に変化しています。

監修者情報

エデュケーター ともか
経歴
- 2013年 2年間託児所にて勤務
- 2015年 真田山歯科勤務
- 2018年 11月 オーティカマイオブレース導入セミナー受講
- 2019年 9月 Dr.ChrisFarrell 講習会受講
- 2019年 11月 オーストラリアにて研修
- 2021年 4月 エデュケータートレーニングコース受講
- 2021年 4月 マイオブレース認定エデュケーター取得
- 2024年 3月 Dr.John Flutter 講習会受講


