目次
始めるきっかけ
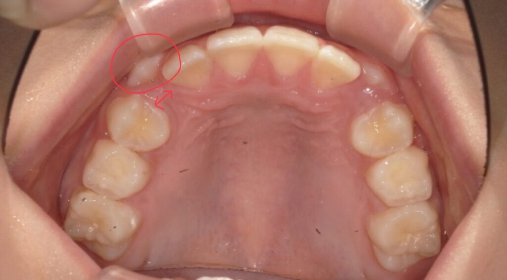
下の歯と上の歯並びを気にして
一番最初当院に来院されたきっかけは下の4本の歯が平坦に並んでいることと、上の2番目の生えてきている歯が唇の方から生えてきて入る場所がないことがきっかけでした。
歯の入れる場所を作ってあげることが今できるおすすめの方法です。
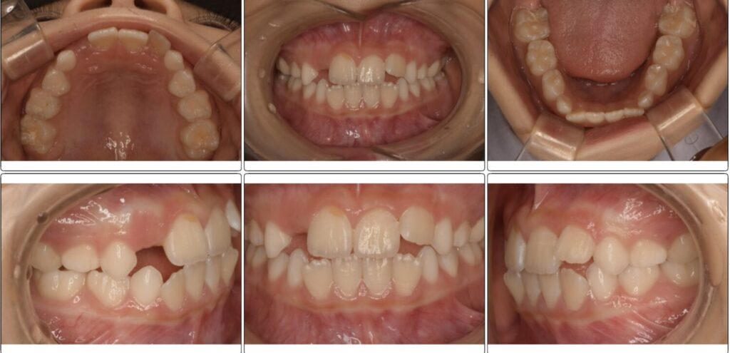
治療前 / 現在
治療前 / 現在
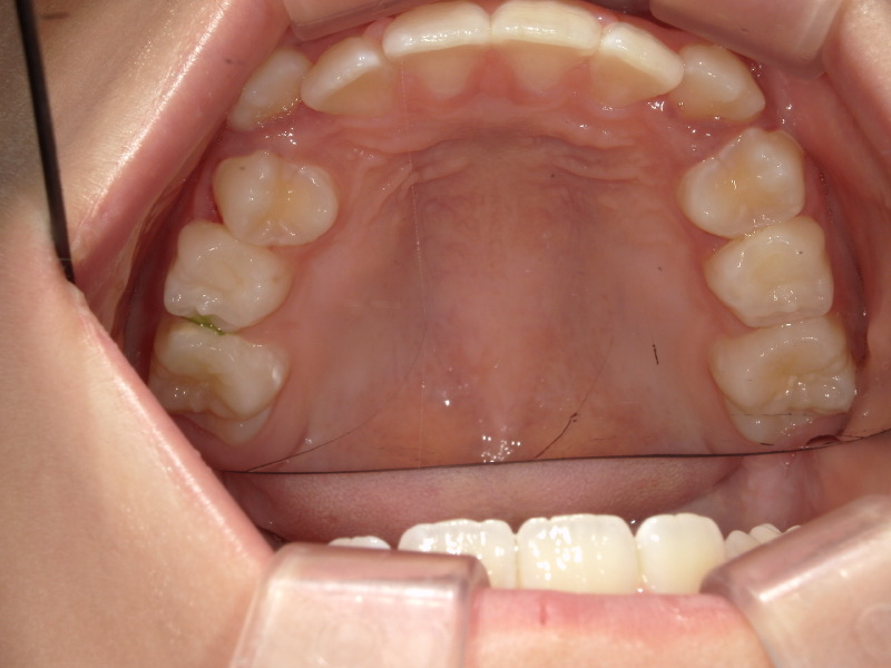
治療開始時


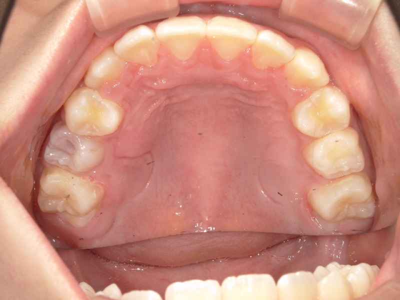
現在
歯並びへの興味
歯並びががたつく理由
7歳の男の子で歯並びが気になっている子は多くないです。
実際に下の2番目から2番目の歯が生え変わるのが7、8歳くらいではありますが子どもたちはそこまで歯並びについて気になってはいません。
ですが顎の成長のタイミングや、早くから顎の大きさを確保するためにも早めのスタートがいいと言われています。
コンサルでの説明
コンサルに子どもと一緒に来てもらい、実際の現状を一緒に確認することはとても大切です。
主役は子どもたちなので、子どもたちにもこれからどうなっていくかや、今の現状を知ってもらい、マイオブレース(myobrace)矯正を選んでいただけるのがいいと思っています。
本人さんもい興味はなかったようですが、お母さんとも相談しスタートすることを決めてくれました。
歯並びの変化


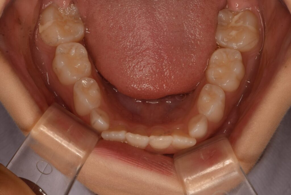
下の歯並びの変化
3ヶ月後の変化の写真です。
平坦だったのはなくなり綺麗なアーチになりました。
マウスピースをつけることで飲み込み方の改善や力のかかり方が変わるため変化が起きやすいです。
アクティビティーやマウスピースを行なってくれていると変わります。


上の歯並びの変化
上の歯並びも3ヶ月後に見ると左の前から2番目の歯が綺麗に入っています。
ですが反対側の歯がまだ入りません。
でも確実に顎は大きくなってきています!
次に生え変わるのは…

次の生え変わりは3番目の歯です。
この歯は根っこが長く、よく八重歯と呼ばれ、外側が出ているような歯になることが多いです。

実際に生えてくるとこのように大きい歯が出てきます。
幅が足りずこのままでは八重歯になってしまいそうでした。
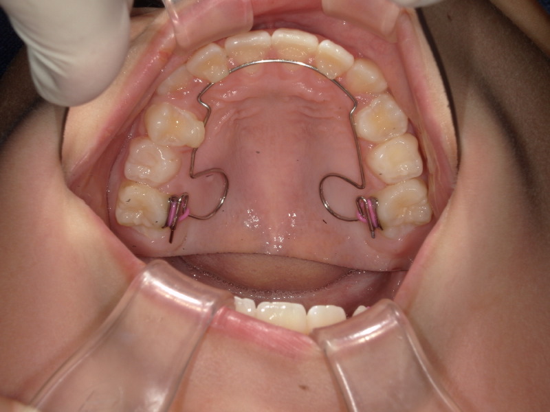
併用する装置
bwsの装着
マウスピースとアクティビティーをしている中で併用する装置があります。
舌のお手伝いをしてくれます。
またマウスピースも一緒に使うことができるのでとてもいい装置です。
初めにつけた時は上顎に少しの違和感は感じますがみんなすぐに慣れてくれます。


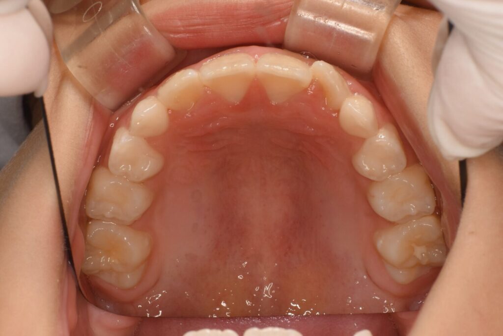
歯が少しずつアーチの方によっています。

ここまでくれば綺麗にアーチの中に入れそうなので装置も外しています。
長く使わないことも併用装置のメリットです。
アクティビティー卒業後
経過観察中
アクティビティーが終わっても永久歯列になるまでは数ヶ月に一度のご来院をお願いしています。
歯並びも順調に生え変わりましたが、左側の後ろから2番目の歯は少し歪んだ方向から生えてきました。
患者さん自身は今は気になっていないため、一旦治療は終了していますが、希望があればマイオブレース(myobrace)治療にて改善も可能です。
監修者情報

エデュケーター ともか
経歴
- 2013年 2年間託児所にて勤務
- 2015年 真田山歯科勤務
- 2018年 11月 オーティカマイオブレース導入セミナー受講
- 2019年 9月 Dr.ChrisFarrell 講習会受講
- 2019年 11月 オーストラリアにて研修
- 2021年 4月 エデュケータートレーニングコース受講
- 2021年 4月 マイオブレース認定エデュケーター取得
- 2024年 3月 Dr.John Flutter 講習会受講




