目次
始めるきっかけ
始めるきっかけ
かかりつけの歯科医院では歯並びが悪く可能性があるため大人になって矯正が必要かも知れない
とのお話を聞いていたそうです。
マイオブレース(Myobrace)矯正においては6歳ごろの開始が最も適しています。
理由はマイオブレース(Myobrace)矯正は上顎を正しく成長させる矯正であり、
上顎骨の成長のピークは6歳だからです。
年齢的に11歳とギリギリな年齢だったので本人の歯を良くしたい気持ち、努力がすごく大切です。
その旨を説明した上で頑張ることを本人はもちろんお母さんと決めてくださいました。

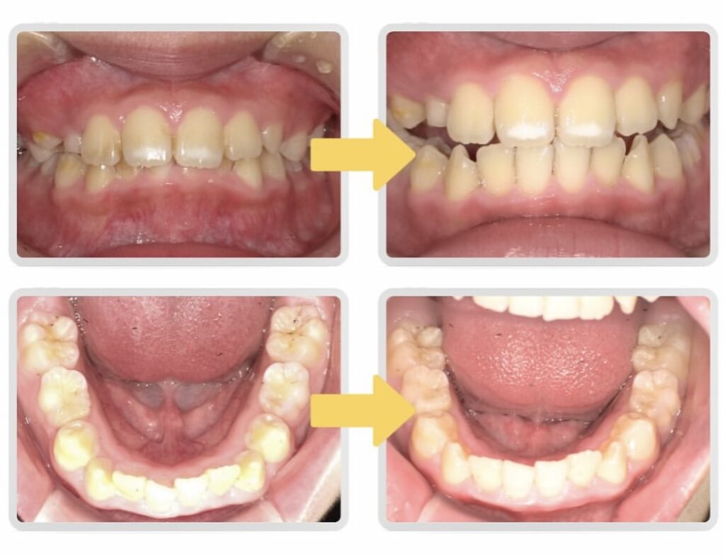
治療前/現在
治療前/現在
治療開始時


現在
検査時に判明したこと
歯の生え変わりスピードと上顎の成長の関係
来院時点で11歳とかなりお兄さんでしたが乳歯もまだ残っている状態でした。
11歳で本来なら9歳ごろに生え変わるはずの歯が残っているのは上顎の成長不足も関係しています。

子どもの就寝中のいびきの原因
初回問診票には就寝時のいびきにチェックがついていました。
検査したところ実際に気道もかなり狭い状態でした。
このことから、上顎の下後方への成長が原因となりその後ろにある気道が狭くなる
→就寝時のいびきにつながっていると考えられました。


本来気道は20,000volという体積があることが理想ですが半分の10,000volしかありませんでした。
これは呼吸が関係しています。
口呼吸が原因となりお顔の成長方向に変化があると、お顔の後ろにある気道は押されて狭くなり
どんどん狭くなってしまいます。この気道の狭さこそがいびきの原因です。
治療経過
初めて1ヶ月後の変化
上顎の成長の猶予も短いため日中のマウスピース装着は本来1時間のところを、できる限り2時間で頑張って
装着してもらうようにお願いしました。
マイオブレース矯正を初めて1ヶ月で噛み合わせが上がって下の歯が見えるようになりました。
また、下の歯のガタつきも改善してきています。
これには本人もお母さんも実感してくださっていました。

初めて2ヶ月後の変化
開始2ヶ月の段階で下の顎が前に誘導され下の歯が見えるようになってきました。
これはマウスピースの特性で上下一対なので正しい使用で下顎が前に誘導されるようになっているからです。

さらに経過を見ていくと不安定だった噛み合わせもしっかり前の正しい位置で噛めるようになり、
上下の歯が噛み込み、安定していきました。
お母さんも熱心に声をかけてくださっていて、親子揃ってマイオブレース治療に励んでくれました!
11歳という年齢ですが、反応も良く4ヶ月たった頃には噛み合わせが改善されてきて
下の歯並びも綺麗に並んできました!
モチベーション維持の難しさ
現段階では習得に2〜3年かかるアクティビティですが半分以上終わっています。
始めた頃は小学生で比較的時間に余裕があっても、中学生になったり
ライフスタイルの変化もあり忙しくなるお子様は少なくないです。
このお子様もライフスタイルの変化でモチベーションの維持が難しくなることもありました。
しかし最初のやる気をみんなで協力して保ち、できる限りの時間を見つけて本人と周りの協力があり
日々頑張ってくれています。その結果としてここまで良くなりました。
この調子で最後まで頑張ろうね!
監修者情報

エデュケーター さやか
経歴
- 2021年 3月 新大阪歯科衛生士専門学校卒業
- 2021年 4月 あみの歯科医院勤務
- 2024年 5月 うめきた矯正歯科勤務
- 2025年 7月 マイオブレース認定エデュケーター取得
- 2025年 10月 Dr.Chris Farrell. 20周年記念大会 受講




