目次
始めるきっかけ
4歳の頃から本院に定期検診や歯の治療に通ってくれていました。
乳歯の段階では大きながたつきは認められませんでしたが永久歯に生え変わり始めた頃
歯にガタつきが出始め、マイオブレース(Myobrace)矯正を勧めました。
乳歯の頃から歯と歯の間に隙間が多くないと永久歯は綺麗に並びません。
マイオブレース矯正は本人やご家族で行ってもらうことの多い矯正なので本人が
自分の歯並びについて気になることがある、または歯を綺麗にしたい意思が起きる
ベストなタイミングで声をかけさせていただきました。
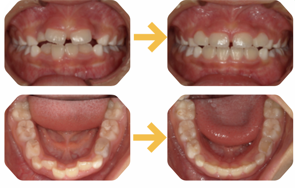
治療前 / 現在
治療開始時


現在
歯並び以外にも気になることが・・・
問診票で分かったこと
問診票には就寝時の口呼吸、いびきなど睡眠時のトラブルにチェックが入っていました。
いびきは一昔前までは成人のイメージでしたが今は多くのお子様もいびきをかいて寝ています。
そしていびきから睡眠の質の低下を引き起こし、身体に不調をきたしてしまうのです。
検査を進めていくと・・・
治療開始前の検査では歯並び、骨の成長だけでなく呼吸や発音、あらゆる癖を調べていきます。
その際に『呼吸音の荒さ』が顕著に認められました。
ほとんどのお子様は普段口呼吸でも、指示を受けると口を閉じて鼻呼吸することはできます。
しかし正しい鼻呼吸をするということは難しくできないことが多いです。
お顔の成長、良い歯並びのためには良い鼻呼吸を習得していく必要があります。

治療後1年の変化
毎日の頑張りの成果があり、ここまで良くなりました。
ハの字になっていた上の前歯もまっすぐになり下の歯のガタつきも改善しています。

アクティビティの経過
身体と脳を変えていく
アクティビティは呼吸、舌、嚥下、頬と唇の使い方、それぞれの正しい使い方をマスターしていきます。
ここでは筋肉のバランスを整えたり、身体の使い方を変える必要と、脳も同時に変えていく必要があります。
脳を変えるためには本人の意識がとても大切です。
呼吸=口呼吸だった脳を意識的に呼吸=鼻呼吸にシフトしなければいけません。
アクティビティを習得し、身体の準備が整ったあとは本人が意識して身体をどう使うかで
お顔の成長や歯並びは大きく変化していきます。

経過観察期間
八重歯になるかどうか・・・
アクティビティは約2〜3年で終了するプログラムです。
そのためアクティビティ終了時にはまだ9歳で、乳歯が多く残っていました。
そのため全ての歯が生えるまでは経過を見ていましたが
前から3番目の歯(犬歯)が生え変わる際にスペースの不足が認められました。
この歯は乳歯から永久歯に変わる時1.5〜2倍ほどの大きい歯に変わるのでこのままでは
八重歯になることが予測されました。

補助装置(BWS)の使用
生え変わるタイミングでBWSという補助装置を使用し、上顎の骨をより前方に成長させました。

補助装置を使う期間は一時的に歯と歯の間に隙間が生じますが、
その過程を経て正しい成長が得られるので何一つ問題はありません。
最終的な成長の評価

緑の線がbeforeで赤色の線がafterです。
お顔は口呼吸やその他の癖があると下後方に成長しますが、綺麗に前に成長しました。
最終的に歯並びだけでなく正しい顔の成長が得られ、顔貌にも良い変化が現れました。
監修者情報

エデュケーター さやか
経歴
- 2021年 3月 新大阪歯科衛生士専門学校卒業
- 2021年 4月 あみの歯科医院勤務
- 2024年 5月 うめきた矯正歯科勤務
- 2025年 7月 マイオブレース認定エデュケーター取得
- 2025年 10月 Dr.Chris Farrell. 20周年記念大会 受講



