目次
始めるきっかけ
永久歯が大きく、スペースがないこと、お口を閉じにくそうにしているという内容が初回での主訴でした。
お子さん自身も歯並びが気になっていたようでした。
他院で相談も一年前に行ったようでしたが、そちらでは上顎を固定装置をつけて広げる、また大人になってから更に装置をつけて行う矯正を勧められたようです。
お母さんは過去に固定式の装置を使用して並べたけど後戻りを感じられておりました。
習い事などはあるけど、テレビなどの時間に入れたりすることができる!と始めからつける時間など考えて提案してくれていました。
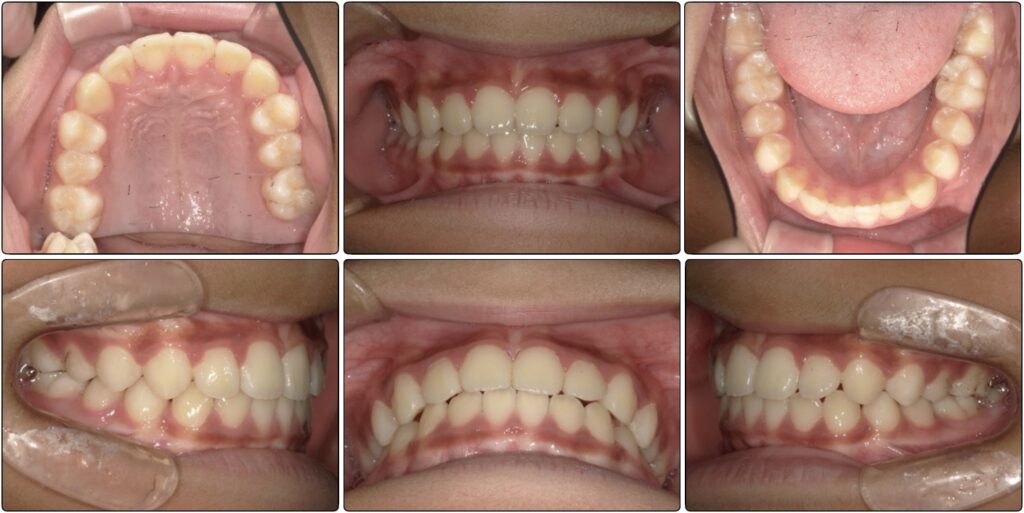
治療前 / 現在
治療前 / 現在
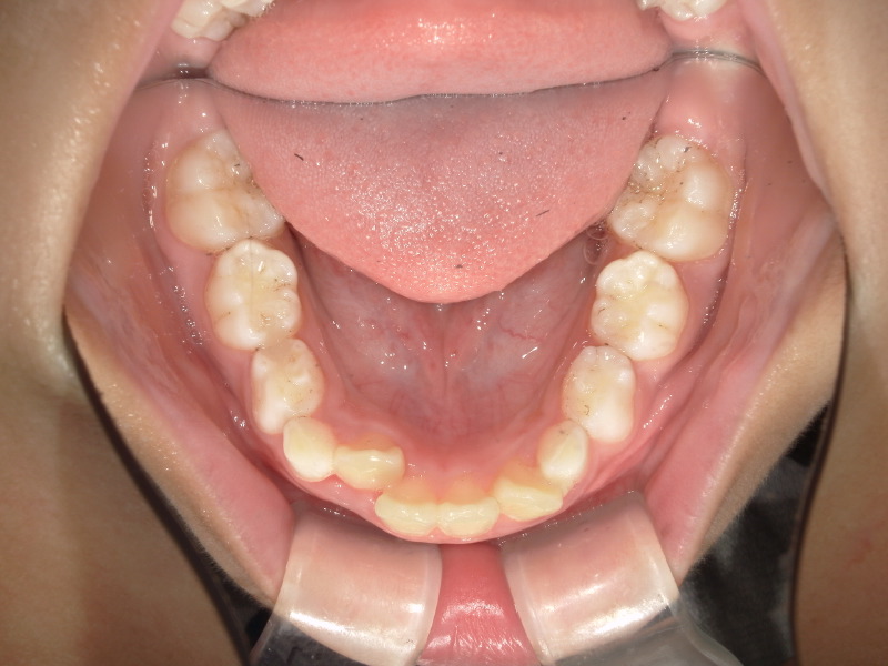
治療開始時


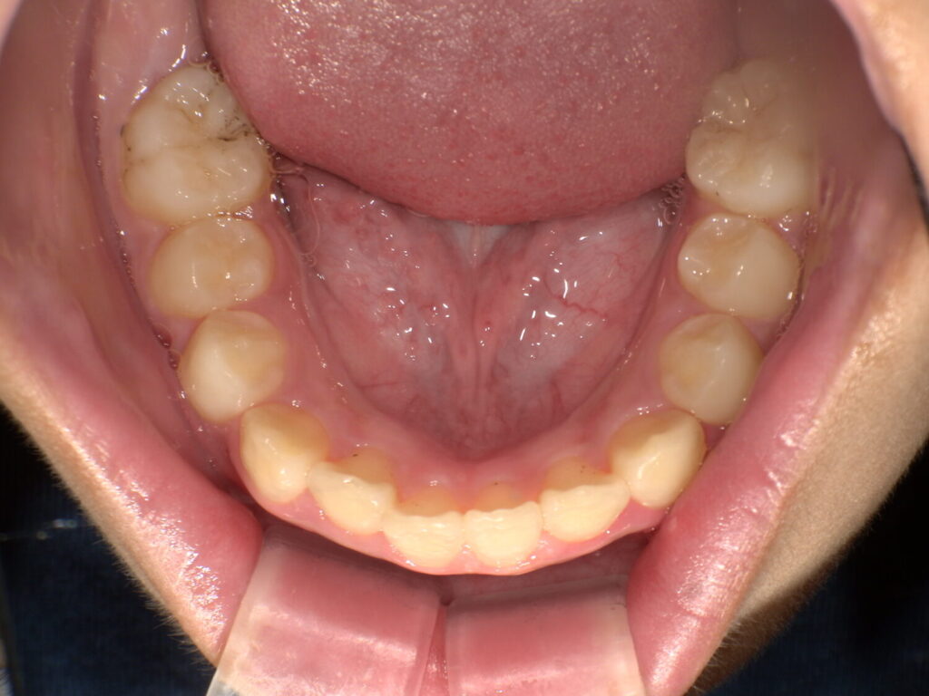
現在
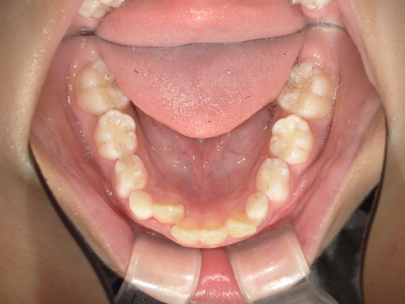
最初の歯並び
前歯が大きい?


最初の検査時に撮影した写真です。
お母さんが気にされていた前歯が大きいという点ですが、歯が大きく見えるのは噛み合わせの状態や、顎の骨の成長が足りていないケースも考えられます。
下の歯が隠れており、前歯の存在が大きく感じます。
下の歯並びは2番目の歯が後ろから生えてきており、スペースが足りないようでした。
姿勢の歪み
検査の時には顔のや姿勢も写真に撮っています。
全身姿勢の写真です。

何も指示せずに立ってもらっています。
左肩が下がっており、後ろに傾いているような姿勢でした。
普段水筒を左にかけているらしくそれも原因の一つと見られます。
なるべく片方だけに負担がかからないようなどは気をつけてもらうようにお声掛けしました。
マウスピースの装着
はじめは1時間の装着が難しかったようです。
初診でも口を閉じにくそうにしている、という点も関わっていると思いますが
1時間お話ができなくなること
入れることにより違和感があること
という点もあります。
1時間が難しければできる時間から装着して慣れていってもらいます。
付け方によっても効果は変わるため、使い方が大切です。
睡眠時はマイオブレース(myobrace)が朝までしっかりついていたようです。
呼吸のアクティビティー
お口を閉じる習慣
アクティビティーをいざしようとすると緊張してしまったり、体に余分な力をかけてしまう子もいます。
リラックスして行うことが大切ではありますが、家で行うのと医院で行うのだと少し変わる子もいます。
そのためお家で見てもらえるご家族の方の協力は成功の鍵に繋がります。
一年の経過


噛み合わせも少し変化があったり下の歯も並ぼうとはしていますがまだスペースは足りず入れませんでした。
歯並びがきっちりに合わさっていると歯も動きたくても動けないこともあります。
舌のアクティビティーへ移行し、装置の併用なども検討しながらアクティビティーを進めていました。
併用装置のタイミング
歯並びや顎骨の成長へのタイミングで併用する装置を入れたりもしますが、歯に器具をかけたりするため生え変わりの確認なども大切です。
マイオブレース(myobrace)は取り外しのできるものなので生え変わりなどでつけれなくなるということもなく安心です!
舌のアクティビティー
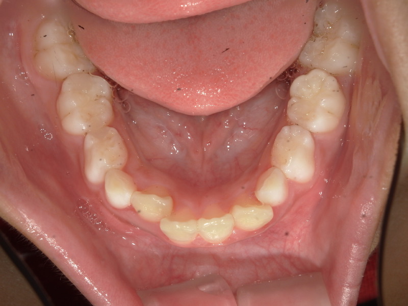
マウスピースの変更
マウスピースは顎骨の成長などをみて変更します。
3番目の歯が抜けて生え変わる頃にグッと噛み合わせが変化して、下の歯も並びました。




マウスピースとアクティビティーでここまで変化しました!
子どもたちの意識
生え替わりなどで歯が変わることもありますが、マウスピースを入れる時の意識や普段の自分の状態などを気にしてくれていることでも顎骨や癖は改善していきます。
普段の意識を変えることで1ヶ月でも歯が変わることもあります!
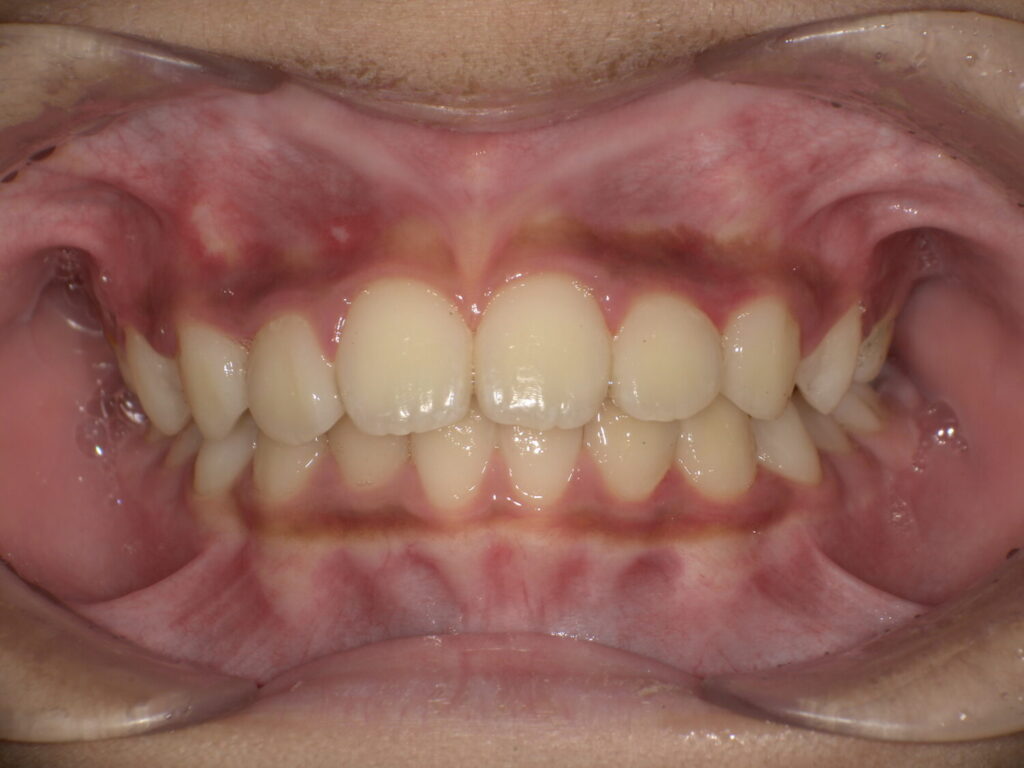
また、前歯が大きいと言われていたことが気になっていましたが顎も大きくなって正しく並んでいると大きく感じなくなります。
姿勢の変化
まっすぐになった姿勢

アップの写真と全身写真の比較です。
まっすぐの姿勢になりました。
本人さんの体の調和が取れていい位置に姿勢も変わったようです。
お口も綺麗に閉じられるようになっています。
もう少し通院は続けど頑張ろうね!
監修者情報

エデュケーター ともか
経歴
- 2013年 2年間託児所にて勤務
- 2015年 真田山歯科勤務
- 2018年 11月 オーティカマイオブレース導入セミナー受講
- 2019年 9月 Dr.ChrisFarrell 講習会受講
- 2019年 11月 オーストラリアにて研修
- 2021年 4月 エデュケータートレーニングコース受講
- 2021年 4月 マイオブレース認定エデュケーター取得
- 2024年 3月 Dr.John Flutter 講習会受講




