目次
始めるきっかけ
こちらからの提案
矯正の相談へはまだ行っておらず当院からの提案で相談に来てくださいました。
お姉ちゃんもいたのですがお姉ちゃんも矯正が必要そうでした。
今ある現状、これからについてを初めに説明しています。
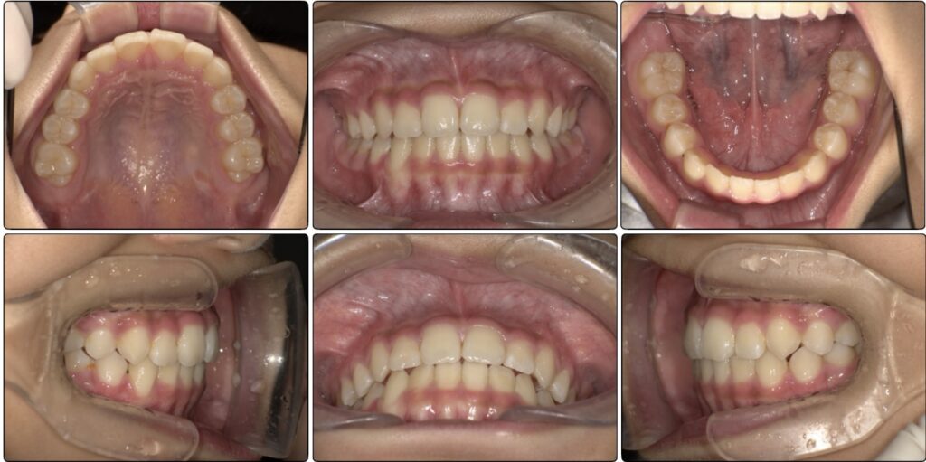
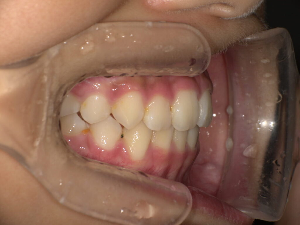
治療前 / 現在
治療前 / 現在
治療開始時


現在
噛み合わせは沢山の種類がある
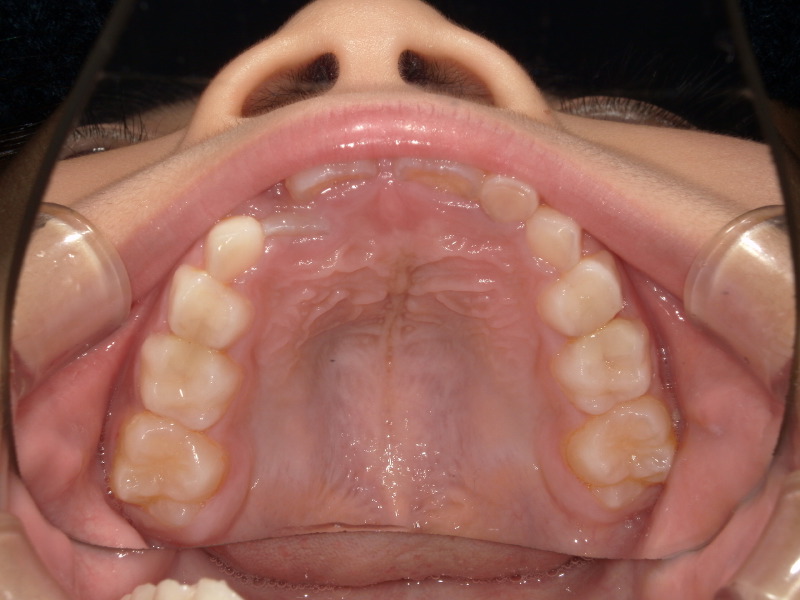
歯並びについて
初めにこの女の子はそこまで歯並びは悪くないのかもしれません。
下の歯にがたつきはあるのですが今の生え変わりだけでは片方の前歯も出ていないためパッと見た時に歯並び、悪いかな?くらいになることも多いと思います。
切端咬合とは

乳歯の時の歯の写真を横から撮った画像です。
下は本来の乳歯の時の噛み合わせの横の写真です。
いつも噛み合わせは上の歯が少し前にありその少し後ろに下の歯が並びます。
上の顎が先に成長し、下の歯は後からグッと成長します。
このままの噛み合わせで成長をすると最終的に反対咬合になる可能性も出てきます。
上顎の成長が大切


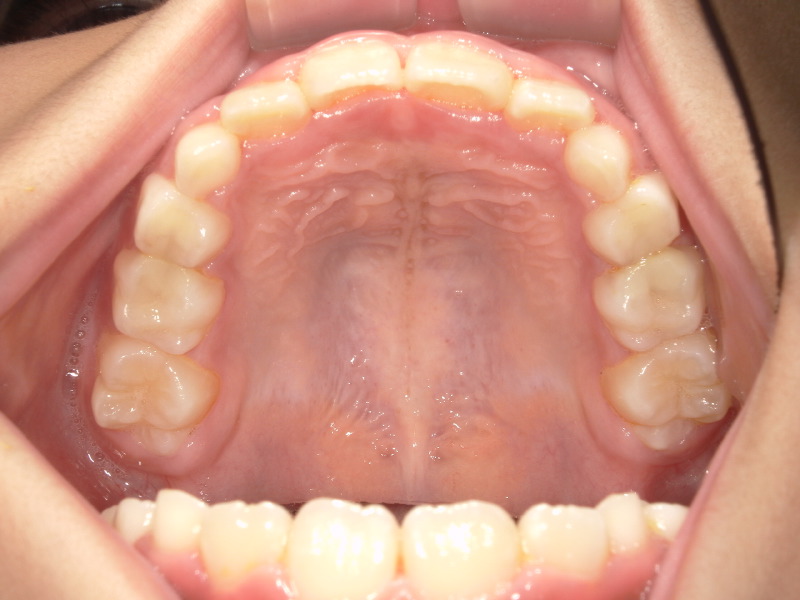
一年後の経過
前歯も生えてきたのですが2番目の歯の隙間はなく後ろから生えてきています。
ですがこれはマウスピースとアクティビティーでここまで綺麗に入りました。
補助的装置の導入
BWSの装着
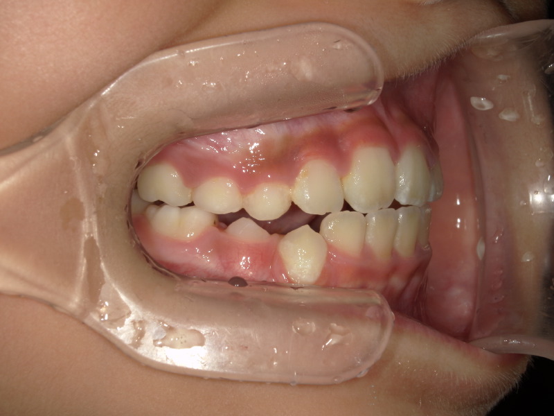
歯並びも良くなってきていますが、まだアーチは完全なUの字にはなっていません。
そのため舌のお手伝いをしてくれる装置を一時的に入れました。

最初は少し違和感はありますが、すぐに慣れる子が多いです。
3ヶ月頃で外すのですが、しっかり前歯が並んできています。
ですがまだ3番目の歯が入る余裕はない状態です。
2回目の装置セット


もう少し顎を前にしたいので、2回同じ装置を装着しました。
マウスピースの併用も大切です!
今はしっかり綺麗な噛み合わせになっています。
監修者情報

エデュケーター ともか
経歴
- 2013年 2年間託児所にて勤務
- 2015年 真田山歯科勤務
- 2018年 11月 オーティカマイオブレース導入セミナー受講
- 2019年 9月 Dr.ChrisFarrell 講習会受講
- 2019年 11月 オーストラリアにて研修
- 2021年 4月 エデュケータートレーニングコース受講
- 2021年 4月 マイオブレース認定エデュケーター取得
- 2024年 3月 Dr.John Flutter 講習会受講