目次
始めるきっかけ
始めるきっかけ
8歳からスタートの女の子です。
他院で一期治療の矯正スタートしましょう!となったが、痛みあるのは嫌だと伝えると
『 痛みのない矯正はない 』と言われ、迷っていたところマウスピースだったらできそう!とのことでセカンドオピニオンで来られました。
普段からすごく口が開きやすく、口を閉じると顎のあたりに梅干しができている状態でした。
爪を噛む癖もあり、本人も歯並びが気になっていたためすぐにマイオブレース矯正をスタートしました。
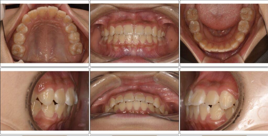
治療前 / 現在
治療前 / 現在
治療開始時


現在
治療内容
スタートしてすぐに変化が。
スタートして1ヶ月。マウスピースの装着のみで下の歯のがたつきがかなり取れてきました。

マイオブレース矯正(myobrace)を初めて本人の意識や周りからの声にもいい変化が!!
その後アクティビティもスタートし、鼻呼吸のトレーニングから初めて行きます。
3ヶ月目には始めた頃に比べて家でもよく口を閉じている姿を見るようになったとお母さんが教えてくださりました。
1年経つ頃には、お正月に親戚に会ったら顔可愛くなったねと言われたよと
嬉しい報告もしてくれました!!
マウスピースやアクティビティの時間以外も自分で口を閉じる意識や舌の位置などを気をつけていてくれると、
正しい筋肉が身につくので、歯並びと同時に顔にもいい変化が現れます。
マイオブレース矯正(myobrace)は痛みの少ない矯正治療
痛みのある矯正は嫌で、マイオブレースを選択しスタートしました。
マウスピースと一緒に上の顎にBWSやBB1という装置を併用した期間が数ヶ月ありましたが、
痛みもほとんどなく、治療を終えることができました。
2年半頑張ってアクティビティも続けてくれました。
このまま正しいお口の状態を継続してくれると、保定装置も必要ないですし
二期治療も必要ありません。
アクティビティで学んだことを忘れずに維持していきましょう♫
監修者情報

エデュケーター さき
経歴
- 2年間保育園にて勤務
- 2017年 真田山歯科勤務
- 2018年 11月 オーティカマイオブレース導入セミナー受講
- 2019年 9月 Dr.ChrisFarrell 講習会受講
- 2019年 11月 オーストラリアにて研修
- 2021年 4月 エデュケータートレーニングコース受講
- 2021年 4月 マイオブレース認定エデュケーター取得
- 2024年 3月 Dr.John Flutter 講習会受講




