始めるきっかけ
始めるきっかけ
6歳スタートの女の子です。
1歳から本院でクリーニングに通われていて、下の前歯が永久歯に生え変わったタイミングでがたつきが出たため来院されました。

本人もやる気満々でマイオブレース矯正(myobrace)をスタートしました。
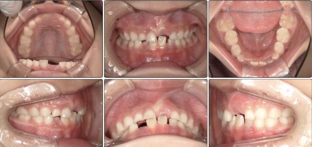
治療前 / 現在
治療前 / 現在
治療開始時


現在
治療内容
スタートしてからもモチベーション高く、アクティビティもマウスピースもほとんど毎回100%で来てくれました♫

1ヶ月後の写真ではすぐに下の歯のがたつきが取れていて、半年経つと歯の間にスペースも出来ていました。
このようにマイオブレース矯正(myobrace)では先に下の歯のがたつきが取れてくることが多いです。
上顎が大きくなるには骨の成長や舌の力が必要なので少し変化に時間がかかります。
上の顎の成長には舌の力が必要不可欠
呼吸のアクティビティを終えて舌のアクティビティに進み、舌の筋トレを行なっていきます。
家だけではなく、学校でも舌を上げたりしてるよと教えてくれたり、普段からアクティビティで練習したことを意識してくれていました。

本人の舌の力とマウスピースの効果でしっかりと上顎の骨が前方に出来てきています。
半年ごとの変化を見てみると、V字だった上顎がU字になり乳歯がキツキツに並んでいたところに永久歯に生え変わり綺麗に並んでいます!!

治療開始から2年経ったアクティビティが終わった時の歯並びです。
治療から1年後の写真と見比べるとさらに前方に骨が作られて前に成長できています。
マウスピースとアクティビティのみでこれだけ前方成長できているのは普段から舌が上顎に置けている証拠です。
口周りの習癖が改善されるとより良い顔つきに
横顔の変化を見てもしっかりと前方に成長できていることがわかります。

永久歯が生え変わるまでは経過観察でチェックしていますが、歯並びや噛み合わせは安定しているので、
現在は半年おきのチェックを行なっております。
アクティビティ終了から2年経ちましたが後戻りもなく噛み合わせはさらに安定してきています。
監修者情報

エデュケーター さき
経歴
- 2年間保育園にて勤務
- 2017年 真田山歯科勤務
- 2018年 11月 オーティカマイオブレース導入セミナー受講
- 2019年 9月 Dr.ChrisFarrell 講習会受講
- 2019年 11月 オーストラリアにて研修
- 2021年 4月 エデュケータートレーニングコース受講
- 2021年 4月 マイオブレース認定エデュケーター取得
- 2024年 3月 Dr.John Flutter 講習会受講




