目次
始めるきっかけ
7歳スタートの女の子です。
相談で来院された時はお母さんは歯並びよりも普段口が開いていることが主訴できてくれました。
鼻の通りも悪く耳鼻科へも通院されていたようです。
お兄ちゃんと来院しましたが二人とも歯並びは気になっていませんでした。
年齢的に歯並びが気になっていない子達の方が多いのは勿論ですが今の現状やこれからどうなっていくかをお伝えした上でご家族で相談して決めてもらうことは大切です。
お家で始めるかをきちんと相談してから再度来院してくださいました。
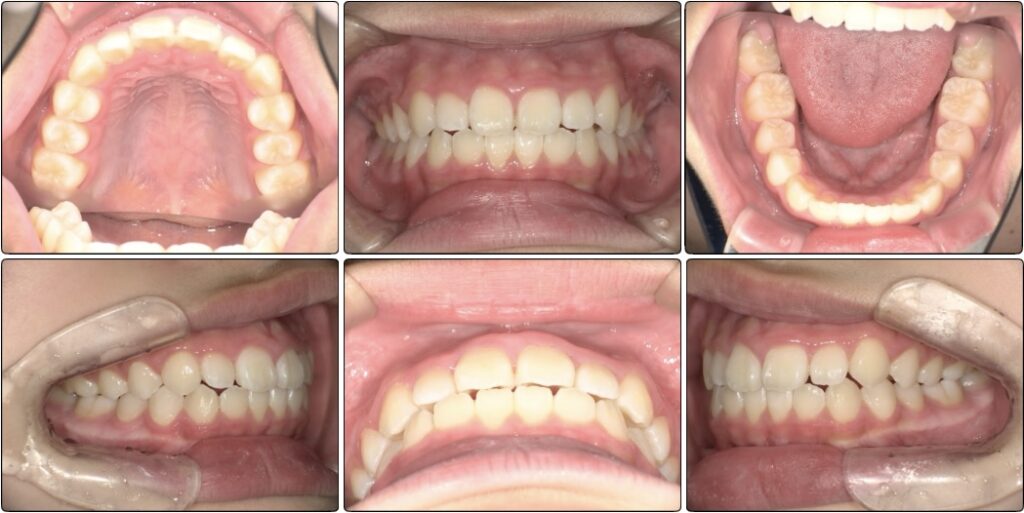
治療前 / 現在
治療前 / 現在
治療開始時


現在
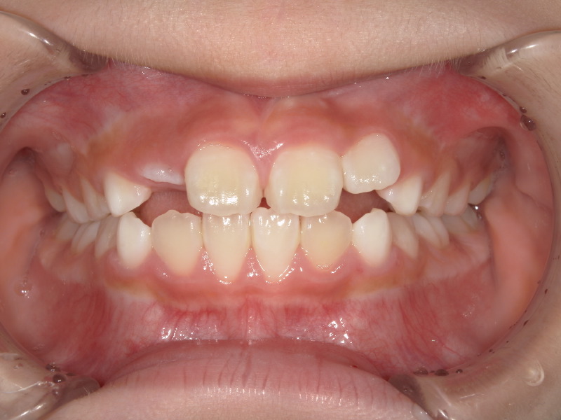
スタート時の現状
スペース不足のため入らない歯


初診の写真を見ると前歯はある程度並んでいますが2番目の歯は斜めに生えており下からの写真では丸いアーチというより平坦のアーチになっています。
これは歯が大きいからよりも顎が小さくスペースが足りていないケースがほとんどです。
顎が小さくなる理由
今は顎が小さい子が多い傾向があります。
現代の環境や食事、様々な理由はありますがお口の周りの癖もその理由の大きいところを持っています。

マウスピーススタート
お口が開きやすいことにより起きやすいこと
マウスピースを入れるとしんどくお口は開きやすいことが多かったです。
夜に装着して寝ていても朝には外れていることがほとんどでした。
口呼吸が日中でも長いと睡眠時の呼吸にも影響がでます。
初診の時に聞いた話では、夜間には泣きながら目を覚ましたりする日もあったようでした。
呼吸が安定するとそういうことも改善されることは多いです。
口呼吸から鼻呼吸へ
一番大切なことはまず、口呼吸を鼻呼吸へ変えていくことです。
今までお口が開きやすかった子にずっとお口を閉じていることは難しいです。
ですが今までずっと開いていたのを少しずつお口を閉じる時間も作っていくことは大切です。
まず1時間のマウスピースの時は閉じていられるように頑張ってもらいたいです。
呼吸のプログラムは少し大変でお口がふとした時には開いてしまうこともしばしばありました。
もちろん意識はしてくれていますが、それでもまだ開くことはあります。
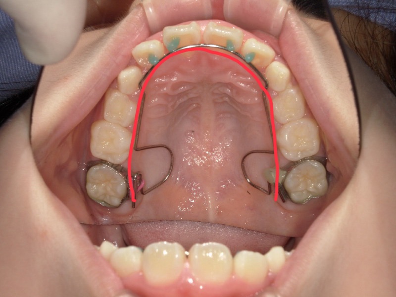
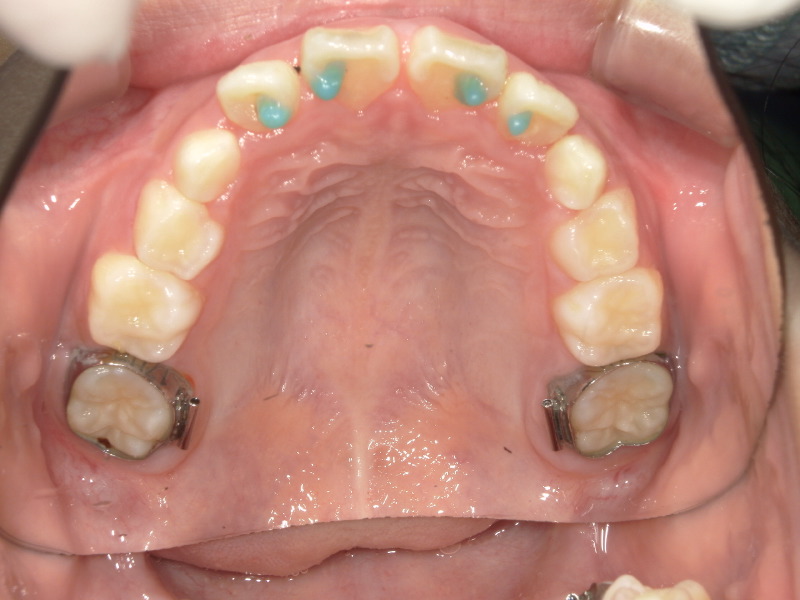
一年後の経過
2番目の歯並び

スタートから一年後の歯並びです。
初めは平坦気味だった2番目の歯もアーチに沿って綺麗になっています。
ですがまだ生え変わりがあることと、スペースに余裕はないため装置を装着しました。


歯と歯にしっかりと隙間ができて広がっています。
装置をつけると一時的に出っ歯っぽく見えていますがここからまた上顎は変わっていきます。
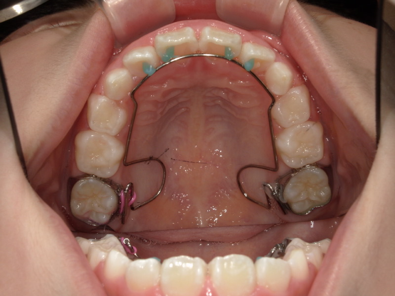
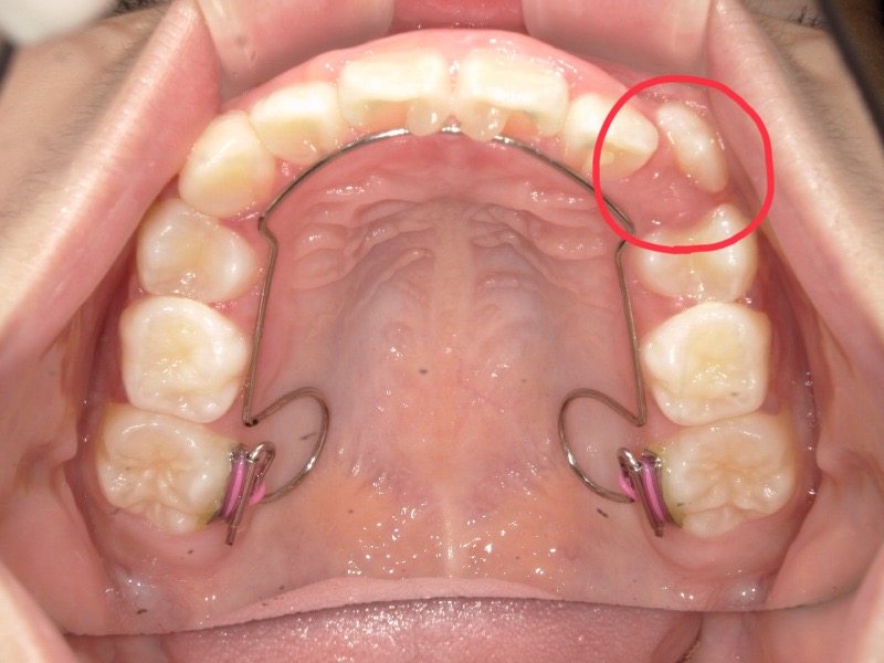
2度目の装置


一度装置は外して様子を見ていたのですがまだスペースが欲しいため再度装置をつけました。
丸で囲っている歯が綺麗に入ることを目的とした装置にもなります。
装置が外れる頃には丸で囲った歯は綺麗に並んでいます。
アクティビティーやマウスピースを継続してくれており卒業も近かったのですが、まだお口が家で開いていることもあり卒業まで少し苦戦していました。
卒業後
検査診断
アクティビティー項目が終わった際にはレントゲンなども撮影し確認しています。
レントゲンの写真です。


気道の太さが大きくなったこと、顔の角度もまっすぐ前に出ています。
アクティビティーの卒業
プログラムで行うアクティビティーが終わった後は癖の改善があるかなども確認します。
そこでアクティビティーを卒業するかを診断します。
卒業になっても生え変わりの間は数ヶ月に一度来院してもらいます。
年齢にもよりますが卒業後に装置を併用してつけることもあります。
最終的には綺麗な噛み合わせになり、初めよりも上と下の真ん中の位置関係もよくなっています。
これからも鼻呼吸を忘れずにね。
監修者情報

エデュケーター ともか
経歴
- 2013年 2年間託児所にて勤務
- 2015年 真田山歯科勤務
- 2018年 11月 オーティカマイオブレース導入セミナー受講
- 2019年 9月 Dr.ChrisFarrell 講習会受講
- 2019年 11月 オーストラリアにて研修
- 2021年 4月 エデュケータートレーニングコース受講
- 2021年 4月 マイオブレース認定エデュケーター取得
- 2024年 3月 Dr.John Flutter 講習会受講




