始めるきっかけ
始めるきっかけ
9歳スタートの男の子です。
お母様がお子様の八重歯を気にされていて、本人も全体的に歯並びが気になるとのことで来院されました。
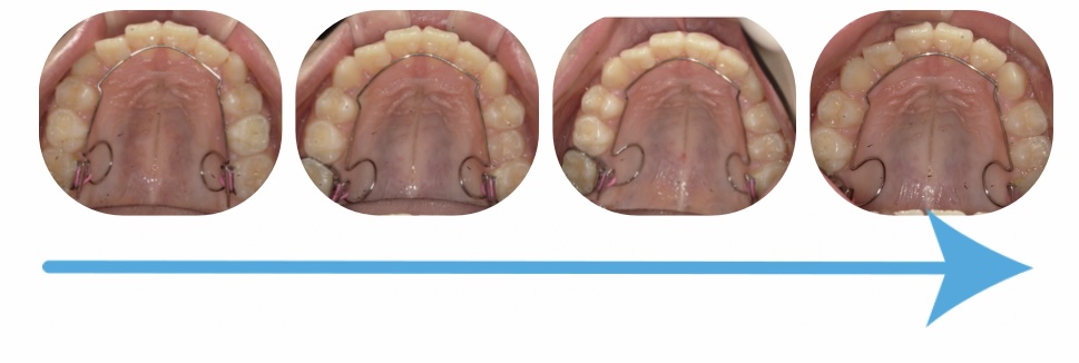
治療前 / 現在
治療前 / 現在
治療開始時


現在
治療内容
スタートしてからマウスピースもアクティビティも毎日忘れることなく100%で来てくれました。
その効果で歯並びにもすぐに変化が現れました。
呼吸のアクティビティが終わる頃には下の歯のアーチが綺麗になり上顎も少しずつですが前方に成長できていました。

舌の位置を確保するための補助装置
もう少し舌を置く位置を確保する必要があったのでBWSという装置を4ヶ月使用しました。
舌の位置がしっかり確保されました。

アクティビティで癖を改善しながらいつも舌を上顎につけて口を閉じることを意識してくれていたので噛み合わせが安定してきました。

顔の前方成長を促す
治療前後のレントゲンの比較写真です。
下方への成長は最小限に抑えられしっかりと顔全体が前方に成長できています。

普段から口呼吸や舌が下がった状態が続くと、顔は「下・後ろ方向」に成長していまいます。
正常な成長でも年単位で見ると少しずつ下方には成長するのですが、口呼吸や低位舌があるお子様は『 前方成長 』が十分にできていないです。
マウイブレース矯正(myobrace)では「下・後方」に成長しているのを食い止め、『 前方成長を促す 』ことを目的に治療していきます。
成長期にしっかりと前方成長が行えた時、顔のバランスが整い歯並びも綺麗になります。

気道も治療前と終了時で比較するとしっかりと太くなっていました。
アクテビティやマウスピースで顔の成長の向きを「下・後方」から「下・前方」の成長に導けた証拠です。
主訴だった八重歯も綺麗なアーチに並んでいます♫
監修者情報

エデュケーター さき
経歴
- 2年間保育園にて勤務
- 2017年 真田山歯科勤務
- 2018年 11月 オーティカマイオブレース導入セミナー受講
- 2019年 9月 Dr.ChrisFarrell 講習会受講
- 2019年 11月 オーストラリアにて研修
- 2021年 4月 エデュケータートレーニングコース受講
- 2021年 4月 マイオブレース認定エデュケーター取得
- 2024年 3月 Dr.John Flutter 講習会受講




