始めるきっかけ
前歯のガタつきが気になり来院されました。
顎の成長のピークは6歳で、来院当時この女の子は9歳だったためBWS という補助装置を使用することを説明し、本人も歯並びが気になっていたので、すぐにマイオブレース矯正(myobrace)をスタートしました。
マイオブレース矯正は成長期にしかできない治療です。
年齢が上がるにつれ、補助装置の使用頻度は上がることがあります。
治療前 / 現在
治療前 / 現在
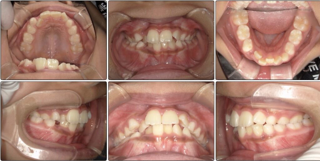
治療開始時


現在
治療内容
鼻呼吸の重要性
マウスピースを使い始めた頃は、モグモグ動かしてしまったり慣れるのに少し苦戦していました。
初めの方は、マウスピースを付けると特に夜間は余計に口が開くようになることがあります。
呼吸のアクティビティを練習していき、鼻呼吸が上手に行えるようになってくるとマウスピースも上手に使えるようになります。
マウスピースがしっかり朝まで装着できるようになると、下の歯のガタつきも綺麗に解けていきました。

上顎の成長の鍵は舌!!
上顎は舌の力で成長していきます。
舌を上顎につけようと思っても、口呼吸している時間は舌は落ちてしまいます。
その為、鼻呼吸がしっかりと獲得されたら舌のアクティビティに進みます。
上顎の成長のピークは6歳なので本人の舌の力だけでは十分に上顎が成長しない場合も多いです。
舌のアクティビティを進めながら、時期を見てBWS という舌の代わりになる装置を3ヶ月ほど入れました。

この装置は舌の代わりになる装置・舌の置く場所を確保するための装置です。
装着期間は3ヶ月という短い期間ですが、BWS を外した後にも上顎の正しい位置に舌をいつもつけておかないといけないです。口呼吸の改善が出来ていて、舌の筋力が伴っていないと必ず後戻りが起きてしまいます。
なのでこの時期に同時に舌の筋トレになるアクティビティも行っていきます。
アクティビティやマウスピースの時間以外にも口を閉じて、舌を正しい位置に置くことを意識してくれていました。
装置の力で治すのではない。
これがマイオブレース矯正(myobrace)の特徴で、装置の力で歯並びを綺麗にするのではなく、
歯並びを綺麗に保つために 呼吸法・舌の筋力・口の筋力 を整えていく矯正治療です。
装置の力だけでは必ず後戻りを起こしてしまうので、同時に口周りの筋肉を整えることがすごく重要になります。
舌のトレーニングの後の飲み込みのトレーニングも順調にすすみアクティビティを卒業しています。
歯のアーチも綺麗なU字になりました。
噛み合わせも上下の歯の真ん中が合うようになり、綺麗に噛み合っています。

監修者情報

エデュケーター さき
経歴
- 2年間保育園にて勤務
- 2017年 真田山歯科勤務
- 2018年 11月 オーティカマイオブレース導入セミナー受講
- 2019年 9月 Dr.ChrisFarrell 講習会受講
- 2019年 11月 オーストラリアにて研修
- 2021年 4月 エデュケータートレーニングコース受講
- 2021年 4月 マイオブレース認定エデュケーター取得
- 2024年 3月 Dr.John Flutter 講習会受講




