症例紹介 矯正相談ブログ

始めるきっかけ

左上の歯が中に入り込んでる

左上の歯が後ろから生えてきたことを本人が気にしていて、初回相談に来てくれました。
他院で相談を受けた際には筋機能改善装置(マイオブレース(Myobrace)矯正とは別のもの)を
一期矯正として行った後二期矯正に移行するがそれでも治らないかもしれない。と伝えられたそうです。

小児矯正でどこまでできるか

『小児矯正(一期矯正)は結果的に成人矯正(二期矯正)も必要である。』
というイメージを持たれている方は多いと思います。
しかし正しい方法で適した時期に介入できれば二期矯正はいらないことがほとんどです。

治療前 / 現在

治療前 / 現在

治療開始時

現在

治療スタート

まずはマウスピースの装着から

まず始めは日中1時間と就寝中にマウスピースの装着をします。
その後必要に応じてマウスピースの種類を変えたり、時には補助装置の使用を検討していきます。
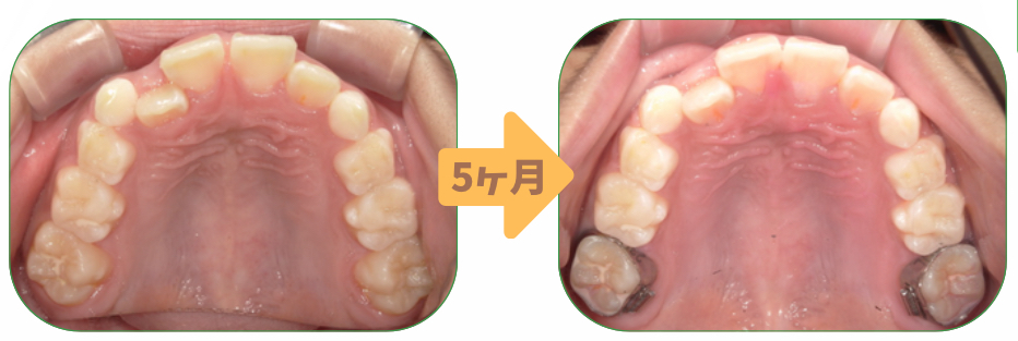
こちらのお子様はマウスピースを5ヶ月使用し、歯並びの改善が少しずつ認められました。
しかし、より上顎を前方へ成長させる必要があると判断し上顎に装置を入れました。

 

補助装置の使用

補助装置とマウスピースの併用で4ヶ月で左上の2番目の歯が
後ろにあったものが少しずつ他の歯と並ぶまで前に来ました。

補助装置を使っているときはよりマウスピースの装着が大切です。
アクティビティもマウスピースも順調に頑張ってくれていました。

歯並びが良くなる口の使い方

口周りの正しい筋肉の使い方とは

上顎が正しく成長し、綺麗な歯並びを得るためには何より自分の口周りの
筋肉の使い方を正しくすることが大切です。

それは『鼻呼吸』『舌を上に置く』『唇を閉じる』ことなどです。
どれだけ長い期間装置をつけて歯並びを良くしてもこれらの使い方が誤っていると
いい歯並びにはなれません。もし一時的に綺麗になっても癖の改善がないのであれば
ずっと綺麗な歯並びは得られないのです。

口周りの機能

後戻りない歯並びには『どんな口の使い方か』が重要

そもそも舌のある位置は上顎ですが、その場所がなくて、また筋肉がなくて
正しい位置に置けないお子様がいます。
そのためどんなに装置で上顎を前方へ成長させたとしても、舌が上顎についていないと
元に戻ってしまいます。

装置を使っても人間の体には負けてしまう

こちらのお子様は補助装置(BWS)を使って4ヶ月かけて前方へ成長しましたが
正しい舌の位置がなかなか安定で来ませんでした。
そうすると、歯は元の位置を覚えているので元に戻ってしまいました。

舌の機能の獲得

一度後戻りをしてしまった前歯でしたが再度補助装置(BWS)を装着しました。
この頃には舌のアクティビティが終了しており、
舌の機能が獲得できてきたため正しい位置で安定するようになってきました。

その後もモチベーションを維持して最後まで頑張り続けてくれました。

治療前後の気道の体積の変化

マイオブレース(Myobrace)矯正では気道が変わります。
実際に治療前後で1,5倍ほどの体積のの増加が見られました。


抜歯したり、成人矯正の考えをすると出ている歯を下げることになるので
口元の後ろにある気道は押されてより狭くなります。
つまりいびき、睡眠時無呼吸などいい呼吸はどんどんできにくくなります。
しかし、マイオブレース矯正は上顎の成長をどんどん前に進めます。
そのため気道が治療前後で太く変化し、良い呼吸がしやすくなります。
良い呼吸は健康のために必要不可欠です。

治療前後の顔の成長の評価

この図は治療前後でのお顔の成長の変化を表しています。
緑色の線が治療前、赤色の線が治療後を指しています。
綺麗に前方へお顔が成長していることがわかります。
また下の歯においては1.5歯ほど前に成長できました。

監修者情報

エデュケーター さやか

経歴

  • 2021年 3月 新大阪歯科衛生士専門学校卒業
  • 2021年 4月 あみの歯科医院勤務
  • 2024年 5月 うめきた矯正歯科勤務
  • 2025年 7月 マイオブレース認定エデュケーター取得
  • 2025年 10月 Dr.Chris Farrell. 20周年記念大会 受講
calenda

※休診日:毎月1日・2日

症例紹介

【8歳・男の子】前歯が大きいと言われたけど、、

始めるきっかけ 永久歯が大きく、スペースがないこと、お口を閉じにくそうにしているという内容が初回での主訴でした。お子さん自身も歯並びが気になっていたようでした。他院で相談も一年前に行ったようでしたが、そちらでは上顎を固定装置をつけて広げる、また大人になってから更に装置をつけて行う矯正を勧められたようです。お母さんは過去に固定式の装置を使用して並べたけど後戻り …

症例紹介

【7歳・女の子】綺麗な歯並びが大人になるとガタガタに?!

始めるきっかけ 4歳の頃から本院に定期検診や歯の治療に通ってくれていました。乳歯の段階では大きながたつきは認められませんでしたが永久歯に生え変わり始めた頃歯にガタつきが出始め、マイオブレース(Myobrace)矯正を勧めました。乳歯の頃から歯と歯の間に隙間が多くないと永久歯は綺麗に並びません。マイオブレース矯正は本人やご家族で行ってもらうことの多い矯正なので …

06-6375-8759 無料相談予約 width=