目次
始めるきっかけ
始めるきっかけ
出っ歯が気になるので矯正したいと来院されました。
下の歯がほとんど見えず、噛み合わせが深い歯並びで、奥歯しか当たらないため、前歯で物を噛み切ることができない状態でした。
このまま様子を見ましょう。と放っておくと大人になってから奥歯への負担が大きくなり奥歯からどんどん悪くなっていきます。
また大人になってから矯正しようと思うと、この歯並びであれば健康な歯を抜く可能性が非常に高くなります。

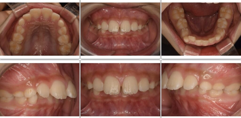
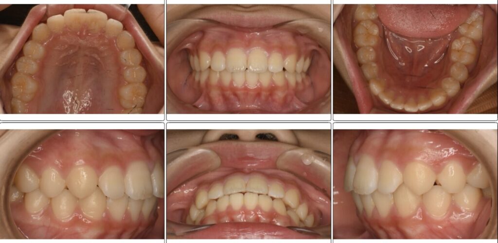
治療前 / 現在
治療前 / 現在
治療開始時


現在
治療内容
成長期の出っ歯は出っ歯ではない。
この時期の出っ歯は、出っ歯に見えているだけです。
どういうことかと言うと、上の顎の成長が足りていない為に、歯だけが出ているように見えているだけです。
歯は骨がある位置にしか移動することができません。
出っ歯に見えている歯並びは、実は上の顎が正しく成長できていないという証拠です。
成長期に顔が前方に成長できると出っ歯ではなくなります。
マイオブレースと受験勉強の両立の難しさ
スタートしたものの、初めてみるとなかなか毎日アクティビティを続けることが大変でした。
親子で口喧嘩になるため、お母さんも声掛けに疲れてしまう時期もありました。
受験勉強や習い事などもちょうど忙しくなる時期です。
本人さんも歯並びを良くしたい!と言う気持ちはあったので、できる範囲でマウスピースやアクティビティを頑張って続けてくれ、3年かけてアクティビティを卒業できました。
途中で諦めずに頑張ってくれたので、歯を抜いたり機械的な力を使わずに本人の力でここまで綺麗な歯並びを手に入れることができました。
コンプライアンスが鍵となる治療
マイオブレース矯正(myobrace)は骨を育てる矯正治療なので、成長期にしかできません。
そして協力度合いによって治療結果が左右される治療でもあります。
受験勉強なので忙しい中でも、頑張ってアクティビティやマウスピースの時間を確保してくれたことでこれだけの歯並びの変化に繋がりました。
エデュケーターの方でアクティビティの調整は可能なこともありますので、心配な方はご相談ください😊
監修者情報

エデュケーター さき
経歴
- 2年間保育園にて勤務
- 2017年 真田山歯科勤務
- 2018年 11月 オーティカマイオブレース導入セミナー受講
- 2019年 9月 Dr.ChrisFarrell 講習会受講
- 2019年 11月 オーストラリアにて研修
- 2021年 4月 エデュケータートレーニングコース受講
- 2021年 4月 マイオブレース認定エデュケーター取得
- 2024年 3月 Dr.John Flutter 講習会受講




