目次
始めるきっかけ
大阪へ引っ越してきて矯正の歯医者さんを探している中で当院を見つけて相談に来てくれました。
当院へ来る前も、何ヶ所か相談にも行っていたようでした。
一年半くらい上の顎を広げる矯正をしていたようです。
上はある程度綺麗に並んでいますが、下の歯が並ばないことを心配されていました。
睡眠時にイビキをかいたりなどもあったようです
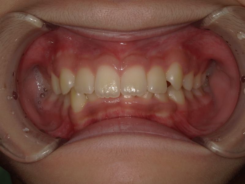
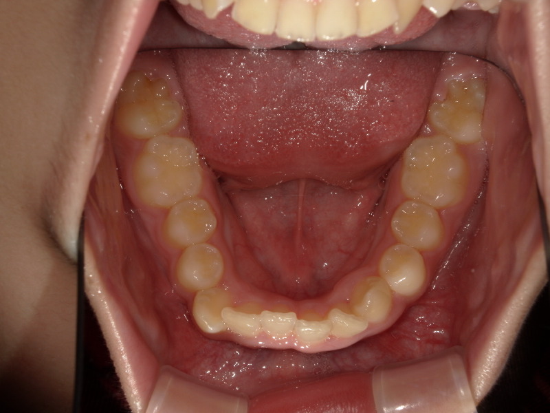
治療前 / 現在
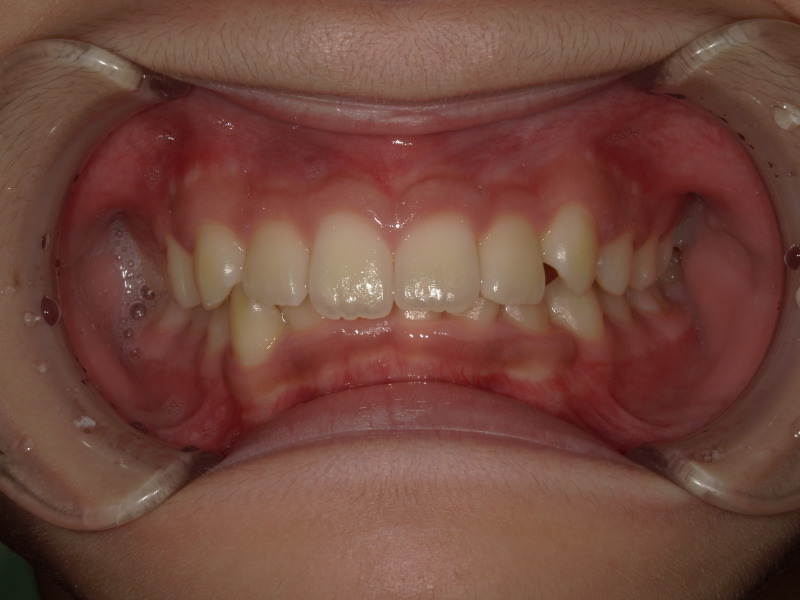
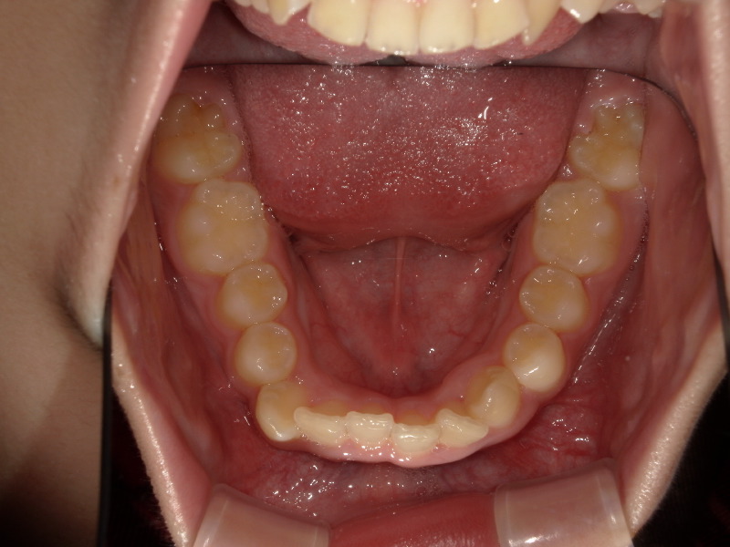
治療前 / 現在
治療開始時


現在
11歳スタート
永久歯列
11歳のお子さんだと既に生え変わりはほぼ終わっています。
そのため、歯や顎が小さい子どもたちよりも動きにくいことがあります。
検査時の状態


上下の噛み合わせが深く、強く噛み込んでいるため下の歯が見えていません。
また下の歯並びもがたつきがあります。
この時既に全て永久歯です。
一年半の経過
噛み合わせの変化


一年半頃の写真です。
しっかり下の歯が見えてきています。
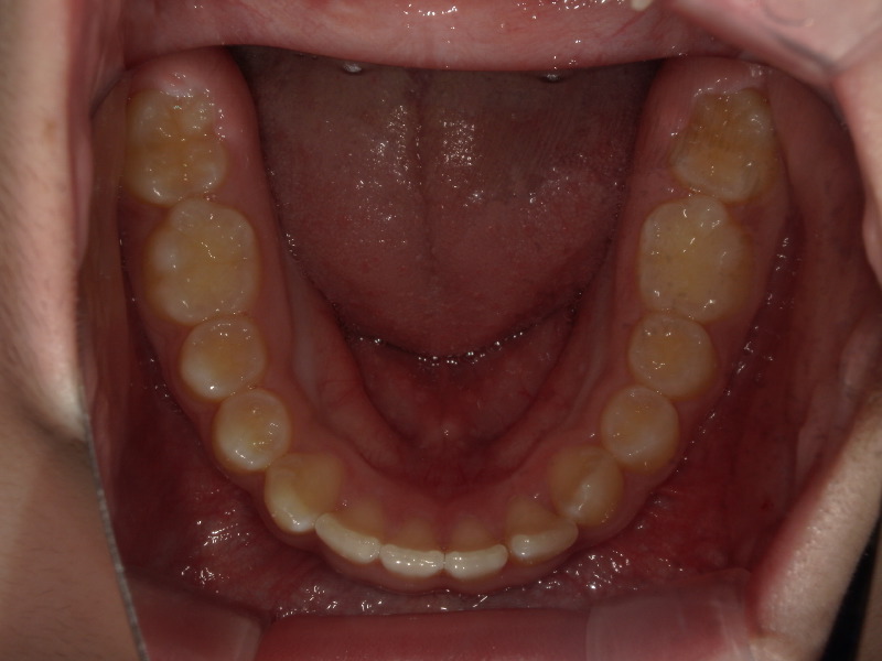
下の歯並び
噛み合わせが深かったのが前にくる=下顎は前に成長しています。
そのため、顎の位置変化が起き、下の顎のアーチは大きくなり、がたつきも改善していきます。
こちらも一年半の経過です。


既に永久歯列なことと、一番奥の親知らずの手前まで歯が出てきていますが、綺麗に入ってきています。
継続することの大変さ
習い事や受験
年齢的にも習い事を沢山していたり、毎日塾があることが増えるとアクティビティーやマウスピースの継続が難しいこともあります。
ですがなるべく時間をとりながら継続して行ってくれていました。
顔の変化

最初と最後のレントゲン写真を比較したものです。
顔の成長方向は口呼吸や舌の位置などで変化するのですが、しっかりと続けてくれていたので前方へ成長しています。
今はもう卒業しましたが、鼻呼吸を忘れないでね。
監修者情報

エデュケーター ともか
経歴
- 2013年 2年間託児所にて勤務
- 2015年 真田山歯科勤務
- 2018年 11月 オーティカマイオブレース導入セミナー受講
- 2019年 9月 Dr.ChrisFarrell 講習会受講
- 2019年 11月 オーストラリアにて研修
- 2021年 4月 エデュケータートレーニングコース受講
- 2021年 4月 マイオブレース認定エデュケーター取得
- 2024年 3月 Dr.John Flutter 講習会受講




