目次
始めるきっかけ
2番目に歯が生え変わり、後ろから出てきてしまったことでご来院されました。
大体は一番前の歯が生え変わってから、少しして2番目の歯が生え変わるため、前歯が綺麗に入ったとしても2番目の歯ががたつくケースは少なくありません。
かかりつけは他にありそこで一度歯並びの相談を勧められたそうです。
日中の口呼吸や夜間の歯軋りなども見られていました。
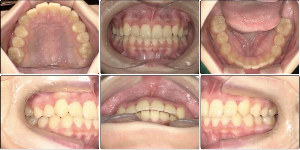
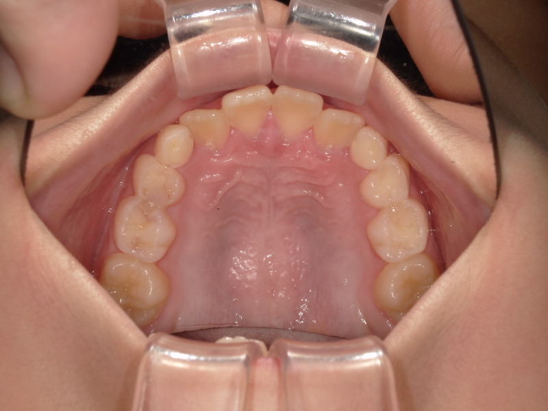
治療前 / 現在
治療前 / 現在
治療開始時


現在
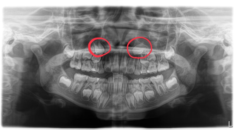
レントゲンでの現状

検査時のレントゲンです。
赤い丸で囲っているのが3番目に生えてくる歯ですがかなり角度が斜めになっています。
この角度が強いと最悪の場合出てこないで埋まったままになってしまいます。
治療の内容
口呼吸を鼻呼吸へ

日中の口呼吸を無意識の時に行なっていることはよくあります。
このマウスピースは一日中入れるわけではありませんが、入れてる時間はまずお口を閉じて入れるように最初にお約束しています。
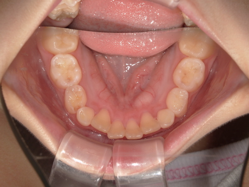
3ヶ月の経過
マウスピースとアクティビティーを3ヶ月続けた経過です。


入れなかった歯が少しずつ綺麗に並んでいいアーチになってきています。
マウスピースをいれて寝ると朝少し動いてるような痛みがあったそうです。
痛みがあるといってくれる子も少し、といった程度です。
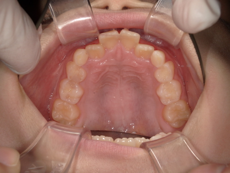
上の歯並びの変化


こちらも3ヶ月の経過です。
がたつきがかなり改善しています。
この頃はまだアクティビティーとマウスピースの装着のみです。
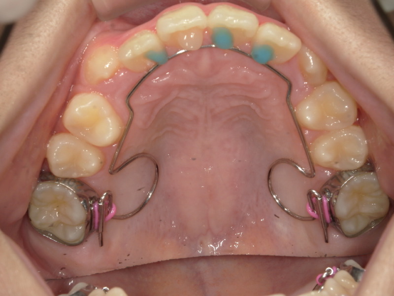
装置の併用
bwsセット
8歳のスタートということもあり、時間にはまだ猶予がありますが上顎の成長のピークは終わりに近いです。
3番目の歯が生えてきた頃の顎の状態などを確認して併用する装置を入れることになりました。


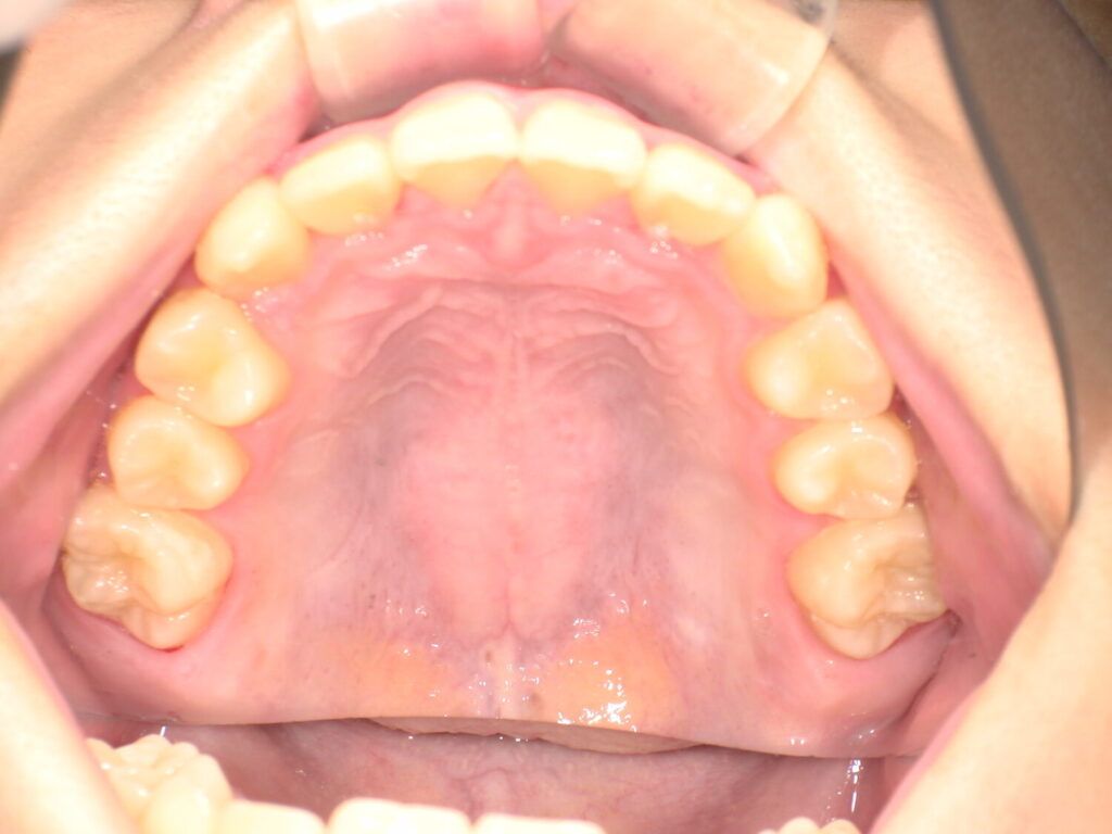
装置セットから外して数ヶ月後の写真です。
もう3番目の歯は綺麗に並ぶので全ての装置を外しました。
(アクティビティー終了しているため、マウスピースのに使用しています)
顔の変化
検査結果の説明
アクティビティーの終わりには検査を行い、親御さんとお子さんと一緒に変化を見ています。
悪い癖が改善しいい癖に変わることで、歯並びだけでなく顔もより良く成長していきます。
緑から赤へ変化しています。
よりいいお顔立ちになりました。

ご家族のご協力
終わりのタイミングにアンケートを書いもらいました。

お子さんだけが頑張っても治らない矯正ではあるので、一緒にアクティビティーやお声かけをして頂くことも大切です。
本人さんも意識して頑張ってくれること、ご家族で一緒に行ってもらうことが成功の鍵であり、近道です!
監修者情報

エデュケーター ともか
経歴
- 2013年 2年間託児所にて勤務
- 2015年 真田山歯科勤務
- 2018年 11月 オーティカマイオブレース導入セミナー受講
- 2019年 9月 Dr.ChrisFarrell 講習会受講
- 2019年 11月 オーストラリアにて研修
- 2021年 4月 エデュケータートレーニングコース受講
- 2021年 4月 マイオブレース認定エデュケーター取得
- 2024年 3月 Dr.John Flutter 講習会受講




