目次
始めるきっかけ
始めるきっかけ
9歳からスタートの女の子です。
お父さんが過去にブラケット矯正で歯並びを治療されていて、歯に負担がかかったり、痛みやトラブルが多かったそうです。
お子さんには負担の少ない治療をということで相談に来られました。
本人も歯並びが気になっていたので、マイオブレース矯正(myobrace)をスタートしました。
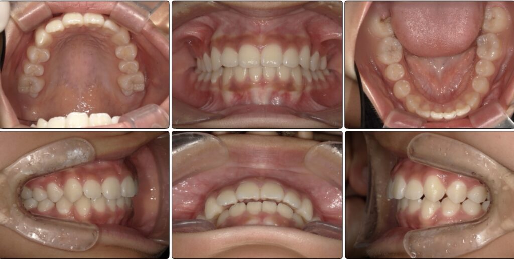
治療前 / 現在
治療前 / 現在
治療開始時


現在
治療内容
口呼吸が原因で扁桃腺が肥大していた。
治療開始は口が開きやすく、呼吸も乱れ気味だったため扁桃腺の肥大もありました。
呼吸が苦しいのか頭部が前に出て巻き肩になる姿勢をとっていました。

左が治療開始時、右が2年後の治療終了時の写真です。
スタートしてすぐは夜間のマウスピースが外れやすかったですが、アクティビティもマウスピースも毎日頑張って続けてくれたので徐々に朝まで付くようになっていきました!!

呼吸のアクティビティが終わった後に舌の位置を確保するためにBWSという装置を2ヶ月ほど装着しました。
アクティビティやマウスピース以外の時間の意識も大切!!
普段から口を閉じて舌を正しい位置に置く意識もしてくれていたので、BWSの効果もしっかりと発揮でき、2ヶ月で外すことができました!!
気道が広がり姿勢も改善する。
治療開始時と治療後の気道の比較です。
気道が立体的に広がっていることがわかります。
気道が広がったために、鼻呼吸が楽に行えるようになり、姿勢の改善にも繋がりました。
気道を太くすることができると睡眠の質も改善していきます。
夜間のイビキや覚醒、おねしょなどが改善することもあります!!
監修者情報

エデュケーター さき
経歴
- 2年間保育園にて勤務
- 2017年 真田山歯科勤務
- 2018年 11月 オーティカマイオブレース導入セミナー受講
- 2019年 9月 Dr.ChrisFarrell 講習会受講
- 2019年 11月 オーストラリアにて研修
- 2021年 4月 エデュケータートレーニングコース受講
- 2021年 4月 マイオブレース認定エデュケーター取得
- 2024年 3月 Dr.John Flutter 講習会受講




