目次
始めるきっかけ
出っ歯が気になる・・・
初診時上の前歯が下の歯に比べて前に飛び出ている状態、
いわゆる『出っ歯』の状態を気にされて来院されました。
成人矯正での出っ歯の治療
成長がすでに止まっている二期矯正(成人矯正)で出っ歯の改善を目的に相談を受けると
『下の歯に対して上の歯が出ているので、歯を抜いてでている上の前歯を下げましょう』
という診断になります。
しかしこれは歯並びだけをみているからのお話です。
マイオブレース(Myobrace)矯正での出っ歯の治療
マイオブレース矯正では成長期の間に顔の成長を含む骨から変えていきます。
出っ歯なのは上顎の成長不足で歯が出て見えているだけです。
つまりマイオブレース矯正では出ている歯を下げるのではなく、
『上顎をもっと前方成長させていきましょう』という診断になります。
治療前 / 現在
治療前 / 現在
治療開始時


現在
マイオブレース矯正開始
マイオブレース矯正の開始に適した時期
マイオブレース矯正は上顎骨の成長時期を考慮し、6、7歳で始めることが理想です。
それ以降の年齢でも始めることはもちろん可能ですができる限り早い方がおすすめです。
そのため当時このお子様は9歳だったのですぐに治療を開始しました。
アクティビティの開始
マウスピースの装着に慣れた後、まずは呼吸のアクティビティと
マウスピースを併用することから始まります。
横隔膜を使ってゆっくり鼻呼吸する練習を5ヶ月ほど続けました。
マウスピースもアクティビティも毎日頑張って取り組んでくれていたので
スタートしてすぐに変化が現れました。
治療開始5ヶ月の変化
上の歯の歯の軸の角度が変わり下顎が前方に誘導されました。
また下の歯の3番目のあたりにスペースができています。


毎日頑張ってくれている効果が出ています。
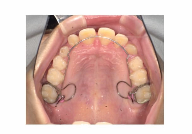
マイオブレース矯正で使う補助装置
上顎に細い針金がつく『BWS』という装置
舌のアクティビティに進んだ段階でBWSという補助装置を3ヶ月ほど使用しました。
この装置が付いている間は舌のアクティビティはやりにくくなりますが
それでも真面目に毎月100%でマウスピースもアクティビティも取り組んでくれていました。

BWS撤去後の変化
BWSを外した後は一時的に前歯に隙間が出たり少し出っ歯になることがあります。
しかしなんの問題もありません。
しっかりとアクティビティとマウスピースの装着を続ければ
数ヶ月かけてゆっくりと上顎の骨ができてより綺麗になっていきます。

後半のアクティビティ
この頃にはアクティビティの後半に差し掛かっていました。
この頃は飲み込み方、頬と唇のアクティビティを行なっていましたが
いつも通り頑張ってくれて順調に進みました。
アクティビティは終了し経過観察をしていますが歯並びも安定しています。
気道の変化
しっかりとお顔が前方に成長したおかげで治療前と治療後では気道が倍に広がりました。
二期矯正で抜歯を行うと口元を下げることになるのでこのような前方成長は得られません。
成長期にマイオブレース矯正を選んでくださったからこそこのような良い変化が起きました。

監修者情報

エデュケーター さやか
経歴
- 2021年 3月 新大阪歯科衛生士専門学校卒業
- 2021年 4月 あみの歯科医院勤務
- 2024年 5月 うめきた矯正歯科勤務
- 2025年 7月 マイオブレース認定エデュケーター取得
- 2025年 10月 Dr.Chris Farrell. 20周年記念大会 受講




