目次
始めるきっかけ
右上の八重歯が気になる、というのが矯正を気にされたきっかけでした。
大きい病院に系列してる歯医者へずっと定期メンテナンスを行なっていたようですが二期での矯正を勧められていて当院にも相談へ来てくれました。
大人の歯に全てが生え変わってからの矯正は大人の矯正になり、歯に装置(ブラケット)をつけて行うケースがほとんどです。
お母さんは歯を抜いたりせずに矯正をしたかったみたいだったこともあり、骨の成長にも興味を持ってくれていました。
治療前 / 現在
治療前 / 現在
治療開始時


現在
治療の内容
鼻呼吸への意識
初診の時も本人さんに口は普段閉じれているか聞いたところ、閉じていると言ってくれてました。
ですが、医院に来た際に見るとお口が開いてる時間が多く感じられました。
口呼吸を無意識に行なっているのをアクティビティーなどで鼻呼吸をしやすくしてあげることが大切です。
しっかり者の男の子だったので、お口が開きやすいことを伝えると自分でも気をつけてくれていました。
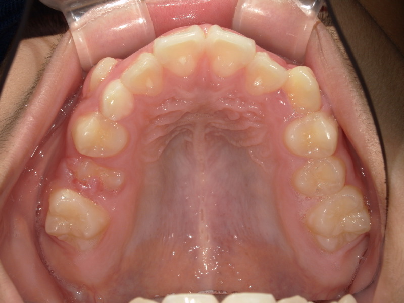
八重歯の歯
前から3番目が八重歯と呼ばれている
この男の子の主訴にもある八重歯、この歯は大体9ー10歳頃に生え変わりが起こる歯です。
写真でもあるように唇側の歯茎から出てきており、大きさもあるので顎のアーチの中には入らなさそうです。
このまま放置しているとこの歯は唇側に留まってしまい、いわゆる八重歯と呼ばれる歯になります。


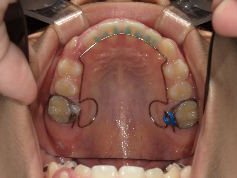
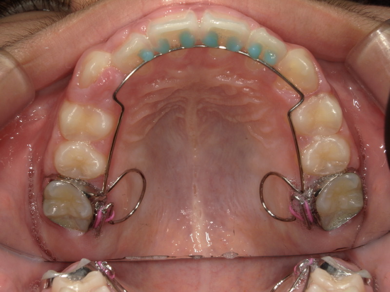
装置の併用
BWSの装着
アクティビティーも順調に進み、次は八重歯の歯を綺麗に入れるために装置を併用することになりました。


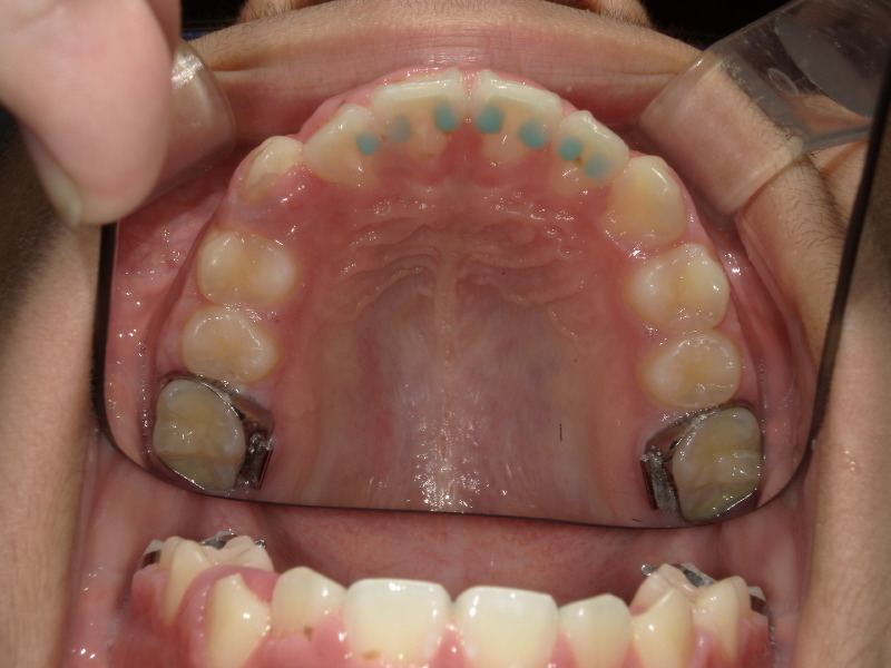
装置装着日 3ヶ月後
少しずつ入れる余裕が出てきています。
この間もマウスピース、アクティビティーは継続しています。
一時的に顎の中に装置が入りますが上顎なのでそこまで見えたり気になることはないです。
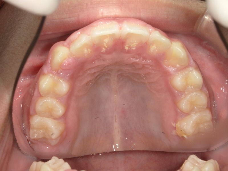
2回目の装置の経過



装置をもう少し併用したかったのでタイミングをみて再度型取りをしました。
装置をつけた日と外した後、外してから3ヶ月後の写真です。
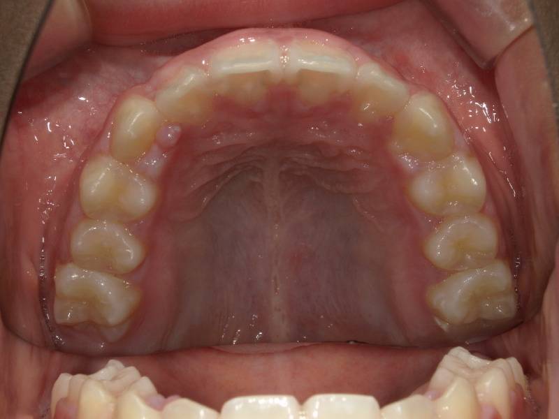
八重歯だった歯はしっかりとアーチの中に入っていて綺麗になりました。
アクティビティーの継続
卒業までの道のり
併用の装置、マウスピースの継続で歯はかなり綺麗になりました。
ですがここで終わるのはまだ癖の改善は100点ではありません。
残っているアクティビティーもしっかりと行なってもらい、アクティビティーも卒業へ
最終的に癖がないかも検査したり、永久歯への生え変わりまでは経過観察も来院をお願いしているのですが、いつもお口を楽に閉じていられるようになりました。
正しい成長へ
顎が正しく前方へ成長すれば、気道も広がります。
全て緑になりとても大きくなりました。


今は卒業していますが、いつもお鼻の呼吸を覚えていてね。
監修者情報

エデュケーター ともか
経歴
- 2013年 2年間託児所にて勤務
- 2015年 真田山歯科勤務
- 2018年 11月 オーティカマイオブレース導入セミナー受講
- 2019年 9月 Dr.ChrisFarrell 講習会受講
- 2019年 11月 オーストラリアにて研修
- 2021年 4月 エデュケータートレーニングコース受講
- 2021年 4月 マイオブレース認定エデュケーター取得
- 2024年 3月 Dr.John Flutter 講習会受講




