目次
始めるきっかけ
最初は治療で当院に通っていただいていました。
6歳の時点で下の歯に隙間がない状態だったことから、説明を受けて矯正歯科にも来院いただきました。
本人さん自身は歯並びにそこまで興味はなかったのですが説明を聞いた上でしっかりと相談して始めることを決めました。
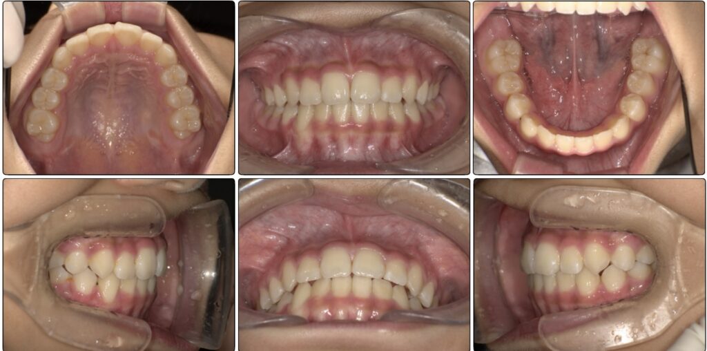
治療前 / 現在
治療前 / 現在
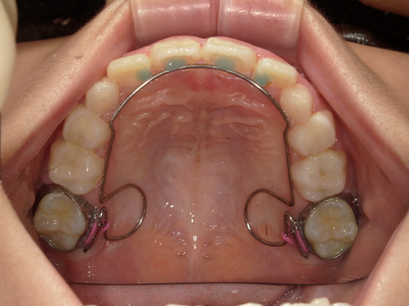
治療開始時


現在
噛み合わせ
噛み合わせの種類
歯並びは上と歯と下の歯がどのように噛んでいるかにより、様々な噛み合わせになります。
上の歯が前に出ているように見える、下の歯が前に出ているように見えるだったり、前歯が空いて噛んでない、など沢山種類があります。

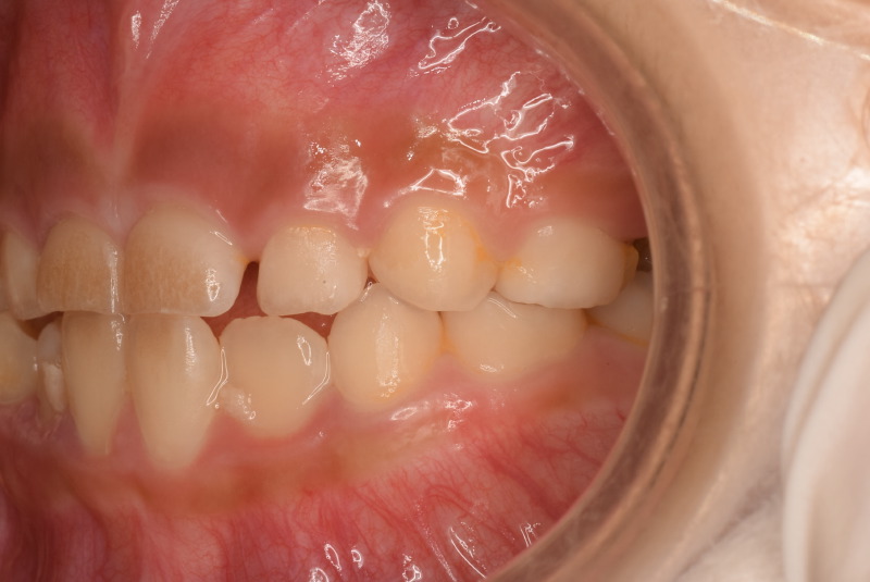
初めに撮った時の写真です。
上の歯と下の歯は噛んでいますが、歯と歯が先端でピッタリ噛んでいます。
正しい噛み合わせ

この乳歯列の模型を見てもらうとわかるように本来いい噛み合わせは、上の歯が少しだけ前にあります。
下の歯は上の歯と噛み合った状態で少し後ろにあります。
先ほどの写真と比べてもらうと上下の歯が当たりすぎています。
マウスピースの装着
小さいマウスピースからスタート
顎がかなり小さく、入れるのが大変だったこともあり小さいサイズからの装着を始めました。
マウスピースは既成のものを使いますが、その子が無理なく入れられるものを確認して決めています。
勿論今のお口の中に少し大きいサイズではあるためいつもよりお口を閉じることが大変にはなります。
アクティビティーの練習
お口は普段から上手に閉じてくれていたこともあり、アクティビティーがスムーズに進みました。
途中で大きいサイズのマウスピースへ移行しましたが問題なく使ってくれました。
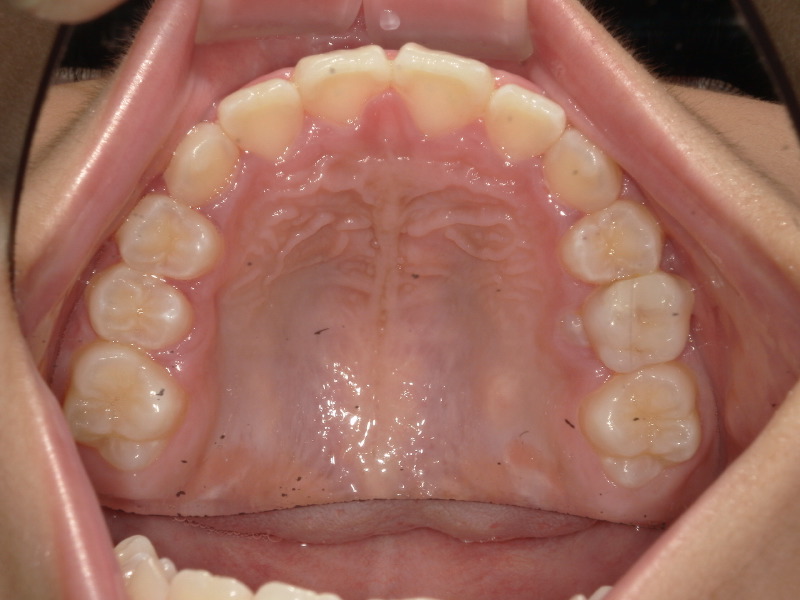
お口の変化
入る場所ができていく


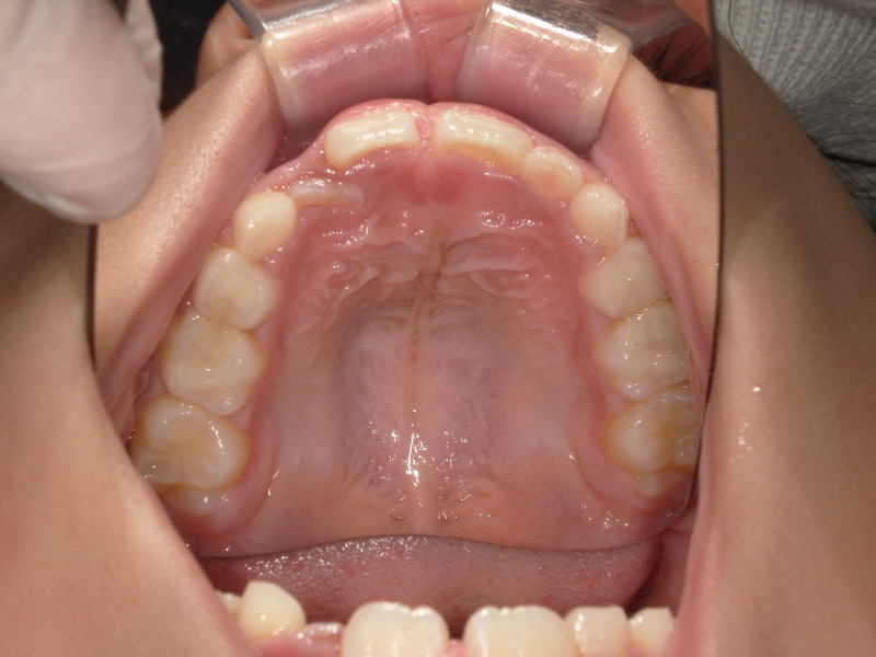
一年の上の顎の変化です。
写真左側の前から2番目の歯は大きく、今の顎のアーチの中に入れないため後ろから出ています。
右側はまだ乳歯ですが横にぴったりなので生え変わる時が経つくことが予想されていました。
ですがマウスピースとアクティビティーを進めることでしっかりと前歯の4本が横に並んでいます。
装置の併用
bwsの装着


タイミングをみて顎の成長を促すための装置をセットしました。
何ヶ月かかけて、歯を少しずつ押しています。
装着時とオフ前の写真ではかなり歯が開いています。
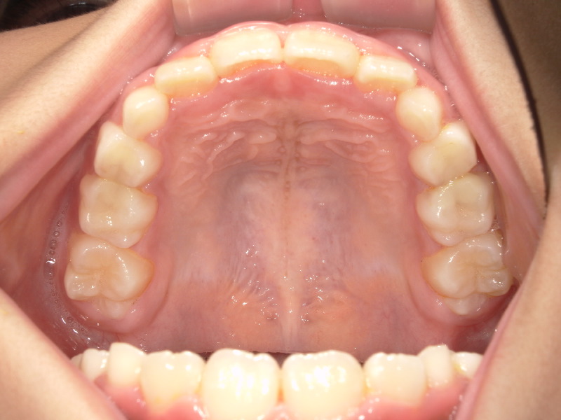
その後の歯並びの状態
装置をつけた後は歯が開いて見えますが、そこからマウスピースや舌の使い方、普段の鼻呼吸を続けることで正しく顎骨が成長していきます。
装置を外してからも順調にアクティビティーをすすめ、全ての項目が終了、マウスピースの身で続けてくれていたのですが、3番目の歯が入る頃にはここまで綺麗になっています。

しっかりと歯が綺麗なアーチに並んでいます。
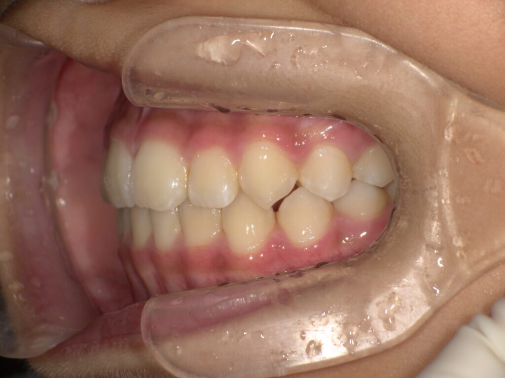
噛み合わせの変化
上下の歯の並びの差
最初の頃は上下の歯と歯がぴったりで噛んでいましたが、上の顎の写真の時と同じ日の噛み合わせ写真です。

まだ生えてる途中ですが以前より上下の差があります。

とても綺麗に噛み合っています!
いつも、鼻呼吸で舌をいい位置に置く、というのを続けてくれていると歯と歯もいい位置で噛んでいきます。


気道も大きくなりました!
監修者情報

エデュケーター ともか
経歴
- 2013年 2年間託児所にて勤務
- 2015年 真田山歯科勤務
- 2018年 11月 オーティカマイオブレース導入セミナー受講
- 2019年 9月 Dr.ChrisFarrell 講習会受講
- 2019年 11月 オーストラリアにて研修
- 2021年 4月 エデュケータートレーニングコース受講
- 2021年 4月 マイオブレース認定エデュケーター取得
- 2024年 3月 Dr.John Flutter 講習会受講




