目次
始めるきっかけ

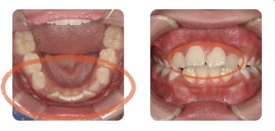
前歯の生え方、下の歯の左右2番目が斜めになっているのが気になり来院されました。
上の前歯が大きく見えるのを本人も気にしていました。
顎が小さく、前歯が前に出ている歯並びをしていると前歯が大きく見える場合があります。
歯の大きさは標準値だったため、現状の歯並びで大きく見えていることを説明し、マイオブレース矯正(myobrace)をスタートしました。
治療前 / 現在
治療前 / 現在
治療開始時


現在
治療内容
口周りの筋肉の使い方で歯並びは変わる
口が開いていることが多く、閉じようとするとこのように下唇を噛んでしまうことも多かったです。

飲み込みの時にはかなり口唇に力を入れていて、下顎が後退し上顎はV字歯列になっていました。

初めはアクティビティやマウスピースの装置を毎日できるかなと本人もお母さんも不安そうでしたが
スタートしてからは変化が楽しみで頑張って習慣にしてくれていました😄
マイオブレースの成功は習慣化が大切!!
普段から口を閉じる意識も頑張ってくれていて呼吸のアクティビティが終わる頃には(治療開始から6ヶ月後)
にはアクティビティとマウスピースの装着のみで下の歯のがたつきが少なくなり上顎もV字歯列が改善されていました♪

半年でここまで変化が現れるのはしっかりとアクティビティ、マウオブレースの装着、日々の意識が習慣化されている証拠でもあります!!
上顎の成長は舌が鍵になる!!
舌のアクティビティでは舌の先でスポットに触る感覚が難しく、舌先を巻いてしまっていました。
舌先の感覚を養うのに苦戦していましたが、感覚を掴めてからはスムーズに舌のアクティビティも嚥下のアクティビティも進んでいくことができました。

犬歯の生え変わりのタイミングで上の顎にBWS という装置を2ヶ月使用しました。

BWS をしている時期は少し歯の間に隙間ができることがありますが、
マウスピースの装着、口を閉じること、いつもスポットに舌を置くこと、歯を噛んでおくことを意識してくれているとその後しっかりと歯は噛み合ってきます。

しっかりと意識してくれていたので骨自体が前方成長できています!!
治療前後の比較写真です。

治療前後では下の歯のがたつきはなくなり、上の顎もU字歯列になり綺麗な噛み合わせが保たれています。
大きく見えていた前歯も歯のアーチが綺麗になると気にならなくなりました。

気道写真やレントゲン写真を比較してもしっかりと前方成長できていることがわかります。
監修者情報

エデュケーター さき
経歴
- 2年間保育園にて勤務
- 2017年 真田山歯科勤務
- 2018年 11月 オーティカマイオブレース導入セミナー受講
- 2019年 9月 Dr.ChrisFarrell 講習会受講
- 2019年 11月 オーストラリアにて研修
- 2021年 4月 エデュケータートレーニングコース受講
- 2021年 4月 マイオブレース認定エデュケーター取得
- 2024年 3月 Dr.John Flutter 講習会受講




